Wichtiger Sicherheitshinweis: Pathorama wurde zwischen dem 26. und 27. Dezember 2025 angegriffen. Falls Sie die Website in diesem Zeitraum besucht haben, lesen Sie bitte die wichtigen Informationen hier:
Zur Information

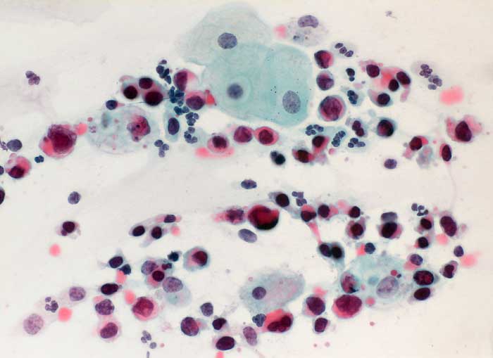
PathoPic – image database / PathoPic ID 6262 - Kolonkarzinom: Metastase in der Zervix

de
Diagnose
Kolonkarzinom: Metastase in der Zervix
Diagnose Gruppe
maligner Tumor
Topographie
Portio
Topographie Gruppe
Genitalorgane, weiblich
Beschreibung
Portioabstrich: Im zervikalen Abstrich erkennt man neben ortsüblichen Elementen mehrere kleine lockere Verbände und Gruppen von atypischen, teilweise degenerativ veränderten Epithelien. Die Kerne sind teils mässiggradig vergrössert und polymorph, teilweise auch pyknotisch und hyperchromatisch mit kondensierter Chromatinstruktur. Das Zytoplasma ist mittelbreit, teils intensiv eosinophil, teils angedeutet zylindrisch, ansonsten aber uncharakteristisch. Insbesondere sieht man keine Vakuolen.
Klinik
Kolonkarzinom. Postmenopausale Blutung.
Bilder Typ
Zytologie
Vergrösserung
400
Alter
73
Geschlecht
unbekannt
Datum
Ersteintrag: 29.01.2003
Update: 10.08.2010