Wichtiger Sicherheitshinweis: Pathorama wurde zwischen dem 26. und 27. Dezember 2025 angegriffen. Falls Sie die Website in diesem Zeitraum besucht haben, lesen Sie bitte die wichtigen Informationen hier:
Zur Information

l/ Malignes Mesotheliom

Diagnose
Malignes Mesotheliom
Diagnose Gruppe
maligner Tumor
Differenzialdiagnose
Topographie Gruppe
Körperhöhlen, Serosa
Topographie
Aszites
Einleitung
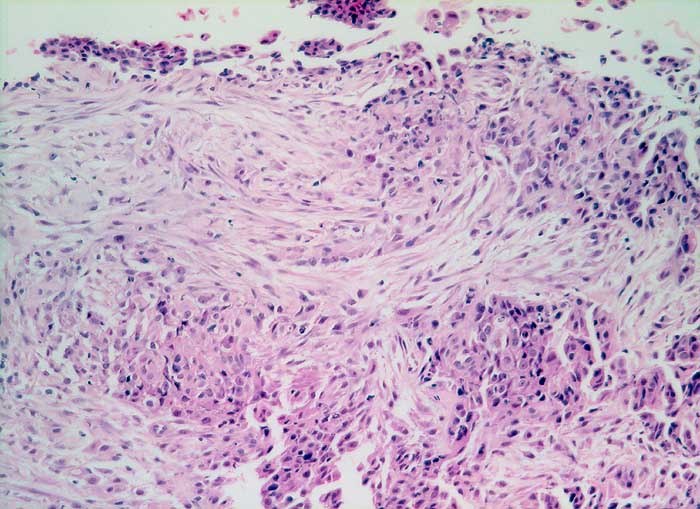
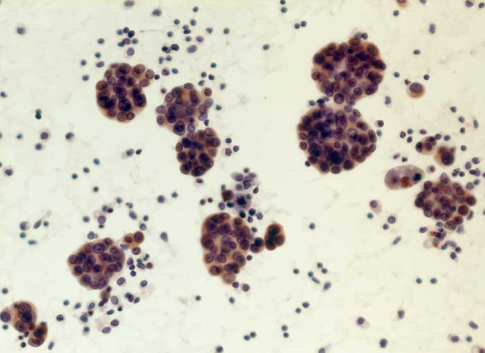
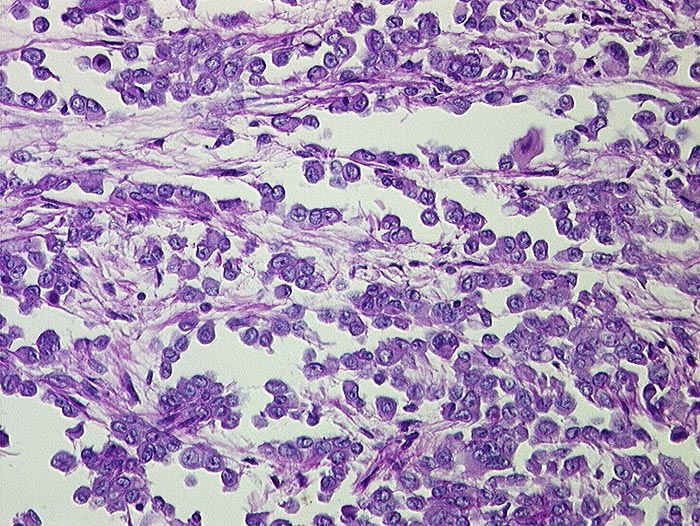
Entscheidend für die Diagnose eines malignen Mesothelioms sind maligne Zellen, die aussehen wie Mesothelzellen. Typisch ist ein Kontinuum von gutartigen, abnormen und malignen mesothelialen Zellen. Die Tumorzellen bilden polyzyklisch begrenzte papilliforme Verbände oder sitzen einem homogenen Matrixkern auf. Zellkannibalismus und lange Zellketten (Indian Files) sind häufig bei Mesotheliomen und selten in gutartigen Ergüssen. Die einzelnen malignen Zellen sind grösser und variabler als gutartige Mesothelien. Oft trifft man auf grosse und mehrkernige Tumorzellen. Das Zytoplasma von Mesotheliomen ist auffallend dicht ,anders als das eher helle Zytoplasma von Adenokarzinomen.
Wichtig für die Diagnosestellung ist der Einbezug klinischer und allenfalls immunzytochemischer Befunde.
Klinik
-
Normalbefund
Morphologie
Makroskopie
Virtuelles Präparat
Befund
Pathologischer Befund
Normalbefund
Literatur
Datum
Ersteintrag: 13.04.2003
Update: 13.04.2003