Wichtiger Sicherheitshinweis: Pathorama wurde zwischen dem 26. und 27. Dezember 2025 angegriffen. Falls Sie die Website in diesem Zeitraum besucht haben, lesen Sie bitte die wichtigen Informationen hier:
Zur Information

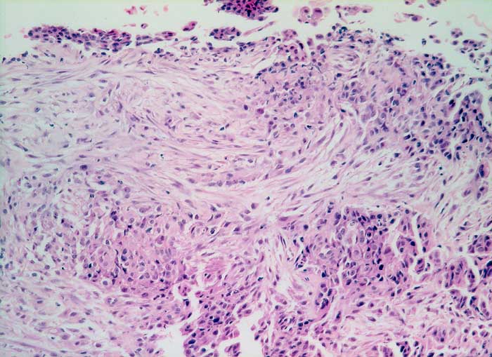
PathoPic – image database / PathoPic ID 5894 - malignes Pleuramesotheliom Mischtyp

de
Diagnose
malignes Pleuramesotheliom Mischtyp
Diagnose Gruppe
maligner Tumor
Topographie
Pleura
Topographie Gruppe
Körperhöhlen, Serosa
Beschreibung
Der Tumor besteht aus einer sarkomatoiden spindelzelligen Komponente und einer überwiegend soliden epithelialen Komponente aus kubischen Zellen mit hyperchromatischen Kernen.
Bilder Typ
Histologie
Vergrösserung
160
Alter
61
Geschlecht
männlich
Datum
Ersteintrag: 03.01.2003
Update: 17.02.2003