Wichtiger Sicherheitshinweis:
Pathorama wurde zwischen dem
26. und 27. Dezember 2025
angegriffen. Falls Sie die Website in diesem Zeitraum besucht haben, lesen Sie bitte die wichtigen Informationen hier:
Zur Information
Pathopic
HiPaKu
ZyPaKu
Projektinfos
PathoPic - Projekt- und Copyright-Info
About
Pathopic
HiPaKu
ZyPaKu
PathoPic – image database
/
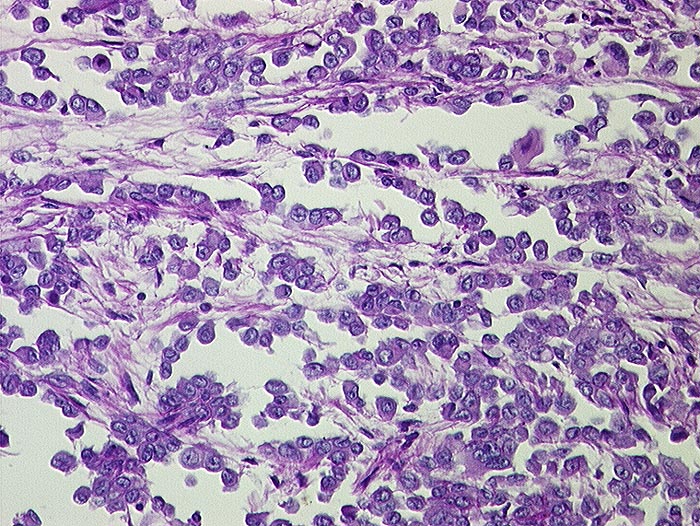
PathoPic ID 1540 - Malignes Mesotheliom epithelialer Typ
de
Diagnose
Malignes Mesotheliom epithelialer Typ
Diagnose Gruppe
maligner Tumor
Topographie
Peritoneum
Topographie Gruppe
Körperhöhlen, Serosa
Beschreibung
Kubische Zellen kleiden tubuläre Räume aus. Die Tumorzellen haben vesikuläre Kerne mit prominenten Nukleolen.
Zusatzbefund
500ml seröser Ascites. Kleine Metastasen in der Lunge.
Klinik
Bekannt seit 6 Monaten.
Bilder Typ
Histologie
Alter
66
Geschlecht
männlich
Datum
Ersteintrag: 12.12.2001
CPS
·
©
2025 Institut für Pathologie Basel
/
Dr. med. Katharina Glatz-Krieger
.
·
v2.2