Wichtiger Sicherheitshinweis: Pathorama wurde zwischen dem 26. und 27. Dezember 2025 angegriffen. Falls Sie die Website in diesem Zeitraum besucht haben, lesen Sie bitte die wichtigen Informationen hier:
Zur Information

p/ Mononukleose (EBV Infektion)

Diagnose
Mononukleose (EBV Infektion)
Diagnose Gruppe
Entzündung infektiös
Differenzialdiagnose
Topographie Gruppe
Lymphatische Gewebe, KM, Milz
Topographie
Lymphknoten, Kopf-cervikal
Einleitung
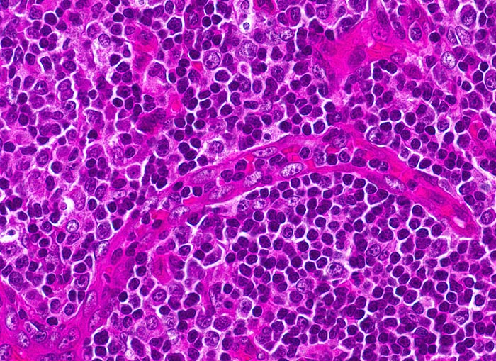
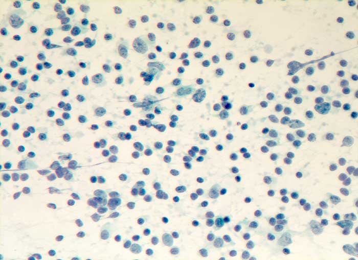
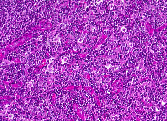
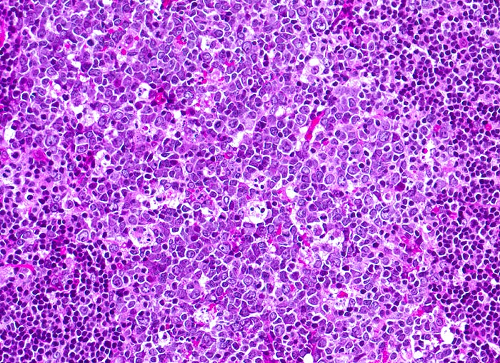
In vielen Fällen entspricht das zytologische Bild bei Mononukleose einer gewöhnlichen reaktiven follikulären Hyperplasie. Seltener findet sich das typische bunte Bild mit vielen plasmozytoiden Zellen und grossen, manchmal doppelkernigen Blasten vom Typ der Zentro-, Immuno- oder Plasmoblasten. Auch Plasmazellen und Granulozyten kommen vor. Stark aktivierte lymphoide Zellen können zur Verwechslung mit einem malignen Lymphom führen.
Die zytologischen Bilder stammen von einem Lymphknoten, die Histologie von einer Tonsille. Die morphologischen Veränderungen bei Mononukleose in diesen beiden Organen sind vergleichbar.
Klinik
-
Normalbefund
Morphologie
Makroskopie
Virtuelles Präparat
Befund
Pathologischer Befund
Normalbefund
Literatur
Datum
Ersteintrag: 01.04.2003
Update: 01.04.2003