Wichtiger Sicherheitshinweis: Pathorama wurde zwischen dem 26. und 27. Dezember 2025 angegriffen. Falls Sie die Website in diesem Zeitraum besucht haben, lesen Sie bitte die wichtigen Informationen hier:
Zur Information

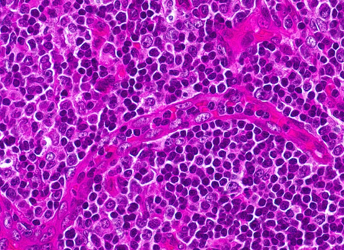
PathoPic – image database / PathoPic ID 4020 - infektiöse Mononukleose

de
Diagnose
infektiöse Mononukleose
Diagnose Gruppe
Entzündung infektiös
Topographie
Tonsille
Topographie Gruppe
Lymphatische Gewebe, KM, Milz
Beschreibung
Hochendotheliale postkapilläre Venole mit gesteigerter Lymphozyten-Rezirkulation. Daneben buntes Zellbild: kleine Lymphozyten, stimulierte Lymphozyten, Immunoblasten mit zentralem Nukleolus und Plasmazellen mit paranukleärer Aufhellung des Zytoplasmas.
Klinik
Tonsillektomie bei einem Studenten mit Angina, Lymphknotenschwellungen und einer Lymphozytose im Blut.
Bilder Typ
Histologie
Vergrösserung
400
Alter
16
Geschlecht
männlich
Datum
Ersteintrag: 13.01.2002