Wichtiger Sicherheitshinweis: Pathorama wurde zwischen dem 26. und 27. Dezember 2025 angegriffen. Falls Sie die Website in diesem Zeitraum besucht haben, lesen Sie bitte die wichtigen Informationen hier:
Zur Information

p/ Anaplastisches Schilddrüsenkarzinom

Diagnose
Anaplastisches Schilddrüsenkarzinom
Diagnose Gruppe
maligner Tumor
Differenzialdiagnose
Topographie Gruppe
Endokrinium
Topographie
Schilddrüse
Einleitung
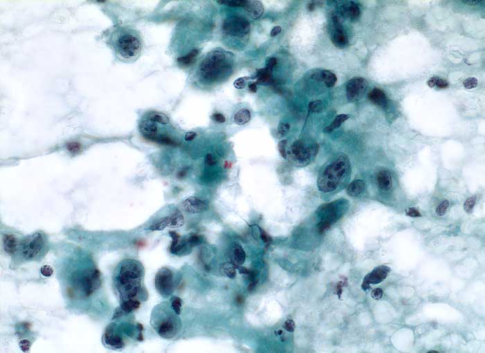
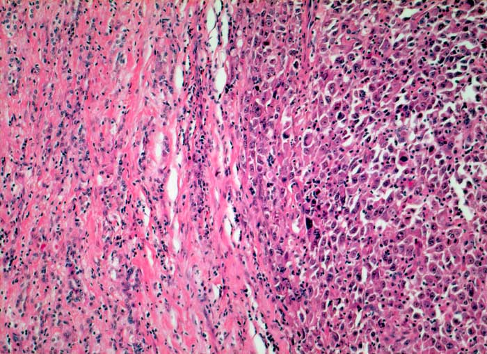
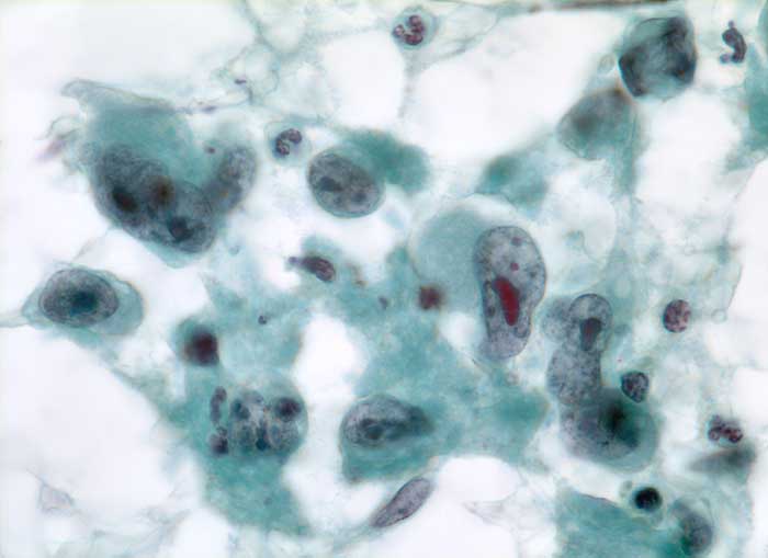
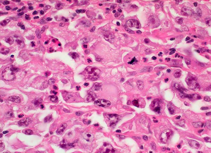
Abstriche von anaplastischen Karzinomen sind gewöhnlich sehr zellreich ausser bei ausgeprägter Desmoplasie. Die Grösse und die Form der Tumorzellen ist äusserst variabel. Oft finden sich sehr grosse, bizarre und spindelförmige Zellen. Die Kerne weisen offensichtliche Zeichen der Malignität auf: irreguläre Kernmembran, grobes dunkles Chromatin und Makronukleolen. Mitosen, auch atypische, sind häufig. Das Zytoplasma variiert von blass und vakuolisiert über granulär bis dicht. Nekrosen, neutrophile Granulozyten und eine Tumordiathese im Hintergrund sind typisch. Die Tumoren exprimieren Vimentin und Zytokeratine, sind aber negativ für Thyreoglobulin und TTF1 (Thyroid Transcription Factor).
Klinik
-
Normalbefund
Morphologie
Makroskopie
Virtuelles Präparat
Befund
Pathologischer Befund
Normalbefund
Literatur
Datum
Ersteintrag: 01.04.2003
Update: 01.04.2003