Wichtiger Sicherheitshinweis:
Pathorama wurde zwischen dem
26. und 27. Dezember 2025
angegriffen. Falls Sie die Website in diesem Zeitraum besucht haben, lesen Sie bitte die wichtigen Informationen hier:
Zur Information
Pathopic
HiPaKu
ZyPaKu
Projektinfos
PathoPic - Projekt- und Copyright-Info
About
Pathopic
HiPaKu
ZyPaKu
PathoPic – image database
/
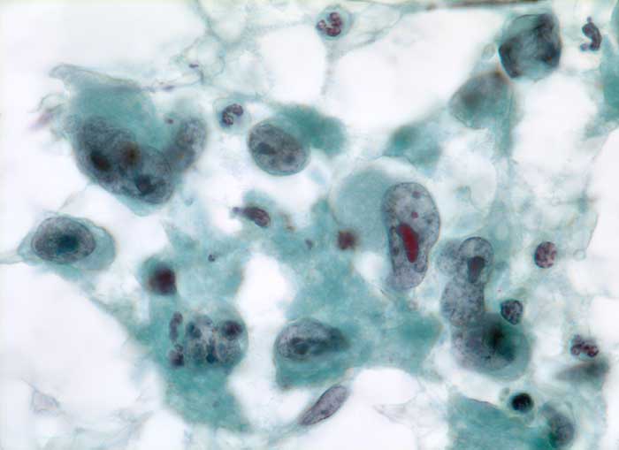
PathoPic ID 5461 - Anaplastisches Schilddrüsenkarzinom
de
Diagnose
Anaplastisches Schilddrüsenkarzinom
Diagnose Gruppe
maligner Tumor
Topographie
Schilddrüse
Topographie Gruppe
Endokrinium
Beschreibung
Feinnadelpunktion Schilddrüse: Bizarre, grosse Tumorzellen mit polymorphen, grob strukturierten Kernen mit teils mehreren plumpen Nukleolen. Breiter Zytoplasmasaum.
Mitose. Daneben deutlich kleinere
neutrophile Granulozyten.
Klinik
Strumaknoten links mit Einengung der Trachea
Bilder Typ
Zytologie
Vergrösserung
630
Alter
70
Geschlecht
unbekannt
Datum
Ersteintrag: 24.11.2002
Update: 11.02.2003
CPS
·
©
2025 Institut für Pathologie Basel
/
Dr. med. Katharina Glatz-Krieger
.
·
v2.2