Wichtiger Sicherheitshinweis: Pathorama wurde zwischen dem 26. und 27. Dezember 2025 angegriffen. Falls Sie die Website in diesem Zeitraum besucht haben, lesen Sie bitte die wichtigen Informationen hier:
Zur Information

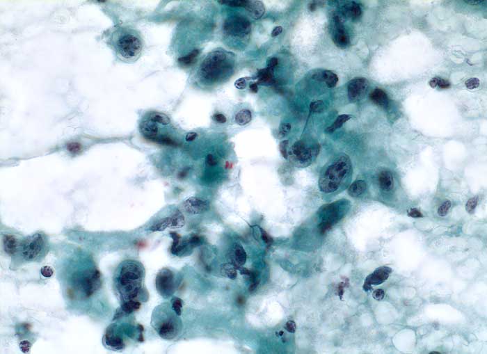
PathoPic – image database / PathoPic ID 5459 - Anaplastisches Schilddrüsenkarzinom

de
Diagnose
Anaplastisches Schilddrüsenkarzinom
Diagnose Gruppe
maligner Tumor
Topographie
Schilddrüse
Topographie Gruppe
Endokrinium
Beschreibung
Feinnadelpunktion Schilddrüse: Der Ausstrich enthält atypische Zellen, welche wesentlich grösser sind als regelrechte Schilddrüsenepithelien. Die Tumorzellen sind ein oder mehrkernig. Die Kerne sind stark polymorph, grob strukturiert mit meist mehreren plumpen Nukleolen. Das Zytoplasma ist unterschiedlich breit.
Klinik
Strumaknoten links mit Einengung der Trachea
Bilder Typ
Zytologie
Vergrösserung
400
Alter
70
Geschlecht
unbekannt
Datum
Ersteintrag: 24.11.2002
Update: 11.02.2003