Wichtiger Sicherheitshinweis: Pathorama wurde zwischen dem 26. und 27. Dezember 2025 angegriffen. Falls Sie die Website in diesem Zeitraum besucht haben, lesen Sie bitte die wichtigen Informationen hier:
Zur Information

p/ Lymphknotensarkoidose

Diagnose
Lymphknotensarkoidose
Diagnose Gruppe
Systemerkrankung/Immunpathologie
Differenzialdiagnose
Topographie Gruppe
Lymphatische Gewebe, KM, Milz
Topographie
Lymphknoten, Kopf-cervikal
Einleitung
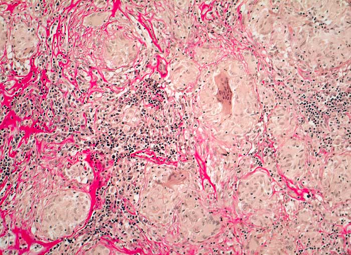
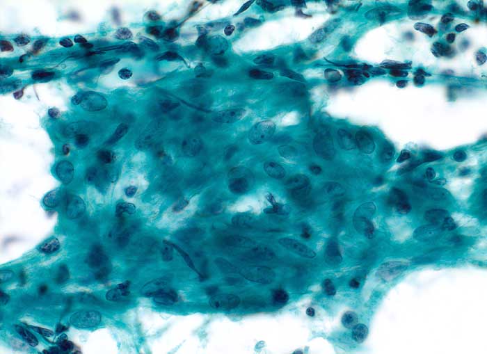
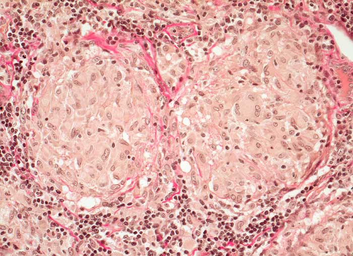
Der Nachweis von epitheloidzelligen Granulomen in der Feinnadelpunktion ist diagnostisch richtungsweisend. Im Unterschied zur Tuberkulose weisen die Epitheloidzellen bei Sarkoidose einen breiten Zytoplasmasaum und nicht immer schuhsohlenförmige, sondern auch vesikuläre oder abgerundete Kerne auf. Die Epitheloidzellen sind deshalb leicht mit Epithelien zu verwechseln.
Klinik
-
Normalbefund
Morphologie
Makroskopie
Virtuelles Präparat
Befund
Pathologischer Befund
Normalbefund
Literatur
Datum
Ersteintrag: 01.04.2003
Update: 01.04.2003