Wichtiger Sicherheitshinweis:
Pathorama wurde zwischen dem
26. und 27. Dezember 2025
angegriffen. Falls Sie die Website in diesem Zeitraum besucht haben, lesen Sie bitte die wichtigen Informationen hier:
Zur Information
Pathopic
HiPaKu
ZyPaKu
Projektinfos
PathoPic - Projekt- und Copyright-Info
About
Pathopic
HiPaKu
ZyPaKu
PathoPic – image database
/
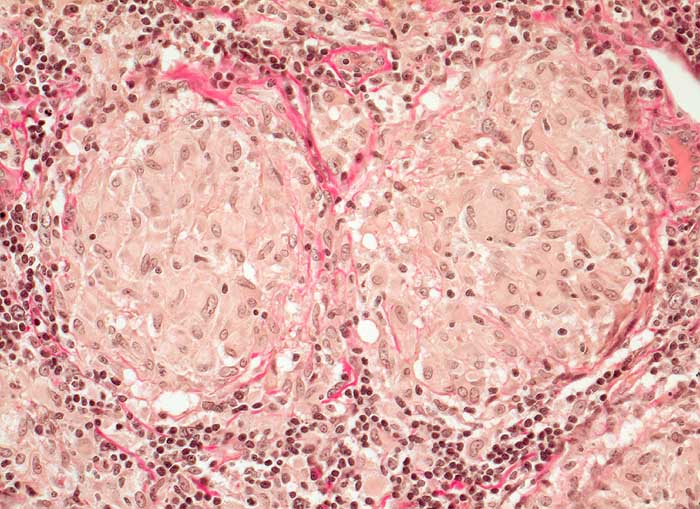
PathoPic ID 5448 - Lymphknotensarkoidose
de
Diagnose
Lymphknotensarkoidose
Diagnose Gruppe
Entzündung / Reparatur
Topographie
Lymphknoten, Kopf-cervikal
Topographie Gruppe
Lymphatische Gewebe, KM, Milz
Beschreibung
Epitheloidzellen mit reichlich Zytoplasma bilden Granulome mit beginnender Fibrose.
Zusatzbefund
-
Klinik
Lymphknotenvergrösserung supraklavikulär und submandibulär. Nachtschweiss und Gewichtsverlust.
Bilder Typ
Histologie
Vergrösserung
320
Alter
31
Geschlecht
unbekannt
Datum
Ersteintrag: 14.11.2002
Update: 11.02.2003
CPS
·
©
2025 Institut für Pathologie Basel
/
Dr. med. Katharina Glatz-Krieger
.
·
v2.2