Wichtiger Sicherheitshinweis:
Pathorama wurde zwischen dem
26. und 27. Dezember 2025
angegriffen. Falls Sie die Website in diesem Zeitraum besucht haben, lesen Sie bitte die wichtigen Informationen hier:
Zur Information
Pathopic
HiPaKu
ZyPaKu
Projektinfos
PathoPic - Projekt- und Copyright-Info
About
Pathopic
HiPaKu
ZyPaKu
PathoPic – image database
/
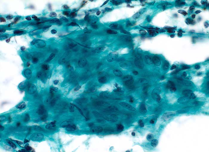
PathoPic ID 5663 - Lymphknotensarkoidose
de
Diagnose
Lymphknotensarkoidose
Diagnose Gruppe
Entzündung / Reparatur
Topographie
Lymphknoten, Kopf-cervikal
Topographie Gruppe
Lymphatische Gewebe, KM, Milz
Beschreibung
Feinnadelpunktion Parotislymphknoten: epitheloidzelliges Granulom.
Zusatzbefund
Ziehl Neelsen negativ
Klinik
Lymphknotenvergrösserung supraklavikulär und submandibulär. Nachtschweiss und Gewichtsverlust.
Kommentar
Eine rein produktive Tuberkulose ist nicht auszuschliessen.
Bilder Typ
Zytologie
Vergrösserung
400
Alter
31
Geschlecht
unbekannt
Datum
Ersteintrag: 14.11.2002
Update: 14.02.2003
CPS
·
©
2025 Institut für Pathologie Basel
/
Dr. med. Katharina Glatz-Krieger
.
·
v2.2