Wichtiger Sicherheitshinweis: Pathorama wurde zwischen dem 26. und 27. Dezember 2025 angegriffen. Falls Sie die Website in diesem Zeitraum besucht haben, lesen Sie bitte die wichtigen Informationen hier:
Zur Information

p/ Pleomorphes Adenom der Glandula Parotis

Diagnose
Pleomorphes Adenom der Glandula Parotis
Diagnose Gruppe
benigner Tumor
Differenzialdiagnose
Topographie Gruppe
Oesophagus, Magen
Topographie
Parotis
Einleitung
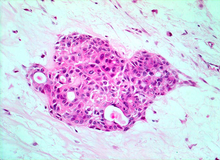
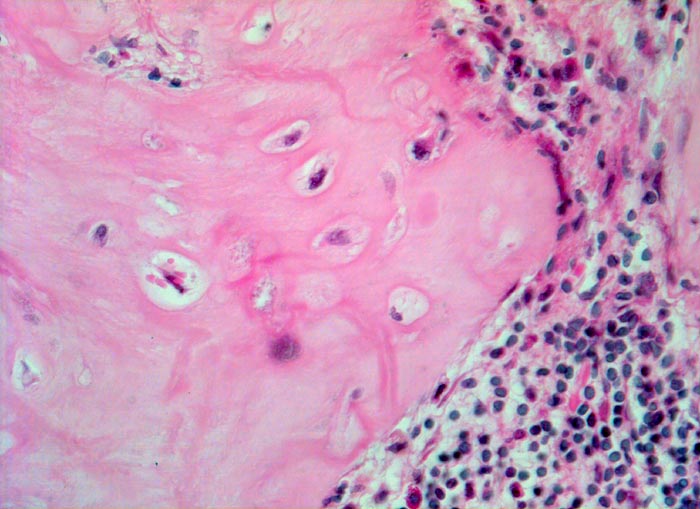
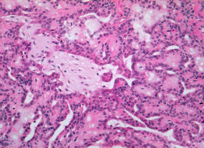
Pleomorphe Adenome bestehen aus einer epithelialen und einer mesenchymalen Komponente. Die Epithelkomponente kann eine muzinöse, squamöse oder onkozytäre Metaplasie zeigen. Die Myoepithelzellen können spindelig, epitheloid, plasmozytoid oder klarzellig imponieren. Das Stroma variiert von fibrokollagenös über myxoid, zu chondroid oder ossär. Meist ist in der FNP reichlich Material vorhanden. Die Diagnose basiert auf dem Nachweis von Epithelzellen, mesenchymalen Zellen und Stroma in sehr variablen Anteilen. Das Stroma ist intensiv metachromatisch und erscheint in der Romanovsky Färbung violett-rot. In der PAP Färbung hingegen erscheint das Stroma transparent und färbt sich nur schwach blassblau bis -grün oder rosa. Typisch ist der fibrilläre Aspekt des Stromas. Aufgrund der hohen morphologischen Variabilität können pleomorphe Adenome viele andere Tumoren imitieren unter anderem das Adenoidzystische Karzinom und das Mucoepidermoidkarzinom.
Klinik
-
Normalbefund
Morphologie
Makroskopie
Virtuelles Präparat
Befund
Pathologischer Befund
Normalbefund
Literatur
Datum
Ersteintrag: 24.03.2003
Update: 24.03.2003