Wichtiger Sicherheitshinweis: Pathorama wurde zwischen dem 26. und 27. Dezember 2025 angegriffen. Falls Sie die Website in diesem Zeitraum besucht haben, lesen Sie bitte die wichtigen Informationen hier:
Zur Information

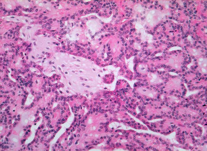
PathoPic – image database / PathoPic ID 5443 - pleomorphes Adenom

de
Diagnose
pleomorphes Adenom
Diagnose Gruppe
benigner Tumor
Topographie
Parotis
Topographie Gruppe
Kopf & Hals, Sinnesorgane
Beschreibung
Spindelförmige und ovale Zellen bilden drüsenartige Strukturen, die von reichlich Stroma umgeben sind. Kerne der Epithelzellen gleichförmig rundlich bis oval, ohne Atypien.
Zusatzbefund
-
Bilder Typ
Histologie
Vergrösserung
160
Alter
53
Geschlecht
unbekannt
Datum
Ersteintrag: 24.11.2002
Update: 21.12.2007