Wichtiger Sicherheitshinweis: Pathorama wurde zwischen dem 26. und 27. Dezember 2025 angegriffen. Falls Sie die Website in diesem Zeitraum besucht haben, lesen Sie bitte die wichtigen Informationen hier:
Zur Information

n/ Glioblastoma multiforme WHO Grad IV

Diagnose
Glioblastoma multiforme WHO Grad IV
Diagnose Gruppe
maligner Tumor
Differenzialdiagnose
Topographie Gruppe
Nervensystem
Topographie
Hirn
Einleitung
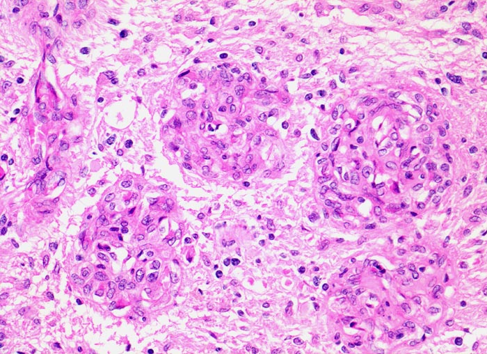
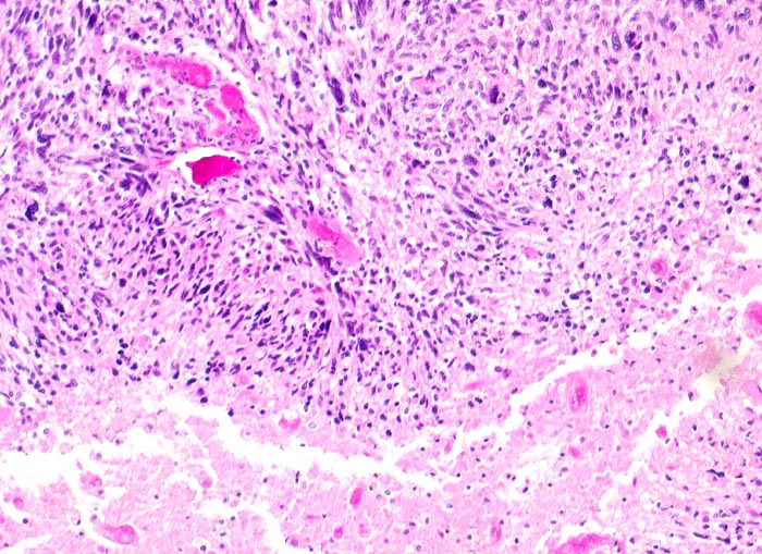
Das zytologische Bild gleicht einem hochmalignen Sarkom. Die Tumorzellen sind oft in mehreren Reihen um eine Kapillarachse herum angeordnet. Das Spektrum reicht von kleinen lymphozytenähnlichen Zellen bis zu grossen zytoplasmareichen und mehrkernigen Zellen. Das Kernchromatin ist grob retikulär und die Kerne sind embryonenartig gebuchtet. Mitosen sind oft anzutreffen. Das Zytoplasma kann degenerativ bedingte Vakuolen enthalten. Den Hintergrund bildet ein Gemisch aus fibrillärer Matrix, Blut, Detritus und Kalkpartikeln.
Klinik
-
Normalbefund
Morphologie
Makroskopie
Virtuelles Präparat
Befund
Pathologischer Befund
Normalbefund
Literatur
Datum
Ersteintrag: 01.04.2003
Update: 01.04.2003