Wichtiger Sicherheitshinweis: Pathorama wurde zwischen dem 26. und 27. Dezember 2025 angegriffen. Falls Sie die Website in diesem Zeitraum besucht haben, lesen Sie bitte die wichtigen Informationen hier:
Zur Information

n/ Urothelkarzinom G3

Diagnose
Urothelkarzinom G3
Diagnose Gruppe
maligner Tumor
Differenzialdiagnose
Topographie Gruppe
Niere, Harnwege
Topographie
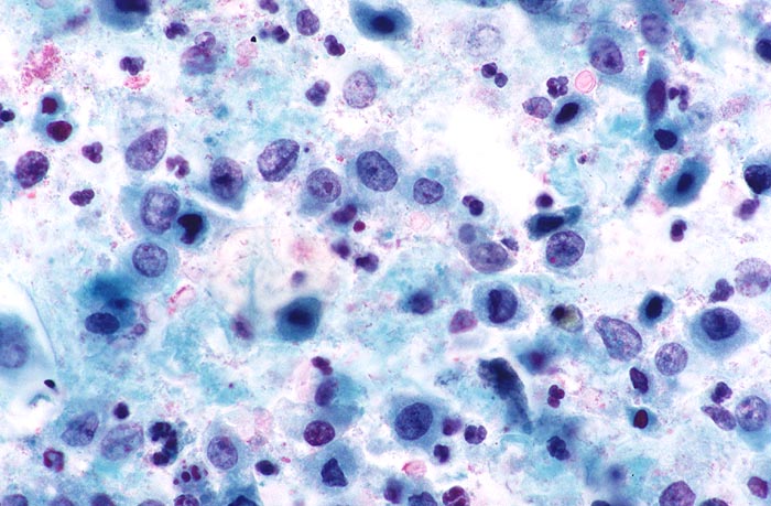
Harnblasenspülflüssigkeit
Einleitung
Sediment von Urin und Harnblasenspülflüssigkeit sind oft zellreich. Die meist einzeln liegenden Tumorzellen sind deutlich grösser als Parabasalzellen und Basalzellen. Die Atypien sind meist auf den ersten Blick zu sehen. Die deutlich vergrösserten Kerne sind hyperchromatisch und sehr grob strukturiert. Sie können den lavabrockenartigen Kernen von Plattenepithelkarzinomen ähneln. Die Kernpolymorphie ist ausgeprägt. Das Zytoplasma kann Vakuolen und abortives Sekret enthalten. Der Ausstrichhintergrund ist detritisch und blutig.
Klinik
-
Normalbefund
Morphologie
Makroskopie
Virtuelles Präparat
Befund
Pathologischer Befund
Normalbefund
Literatur
Datum
Ersteintrag: 01.04.2003
Update: 01.04.2003