Wichtiger Sicherheitshinweis: Pathorama wurde zwischen dem 26. und 27. Dezember 2025 angegriffen. Falls Sie die Website in diesem Zeitraum besucht haben, lesen Sie bitte die wichtigen Informationen hier:
Zur Information

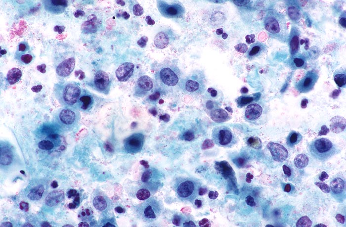
PathoPic – image database / PathoPic ID 3179 - Atypische Urothelzellen Grad 3 (Urothelkarzinom)

de
Diagnose
Atypische Urothelzellen Grad 3 (Urothelkarzinom)
Diagnose Gruppe
maligner Tumor
Topographie
Urin
Topographie Gruppe
Niere, Harnwege
Beschreibung
Neben Detritus und Erythrozyten zahlreiche atypische Urothelien. Die Kerne der Urothelien sind unterschiedlich gross und unterschiedlich geformt, grobstrukturiert. Nukleolen meist wenig hervortretend, zum Teil aber deutlich verplumpt. Zytoplasma nur mässig ausgereift .
Zusatzbefund
Histologisch wenig differenziertes invasives Urothelkarzinom.
Klinik
Urothelkarzinom. Status nach TUR-B und Bestrahlung.
Kommentar
Massenhaft Karzinomzellen. Der Befund passt zu einem wenig differenzierten Urothelkarzinom.
Bilder Typ
Zytologie
Vergrösserung
630
Alter
97
Geschlecht
männlich
Datum
Ersteintrag: 22.03.2002