Wichtiger Sicherheitshinweis: Pathorama wurde zwischen dem 26. und 27. Dezember 2025 angegriffen. Falls Sie die Website in diesem Zeitraum besucht haben, lesen Sie bitte die wichtigen Informationen hier:
Zur Information

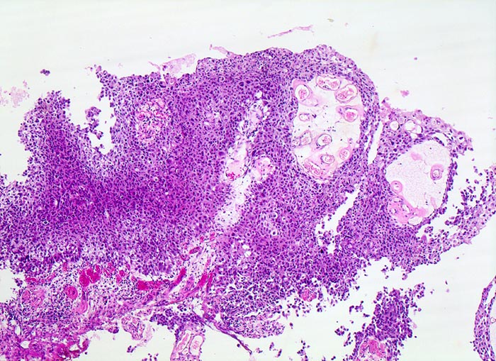
PathoPic – image database / PathoPic ID 3997 - Wenig differenziertes papilläres Urothelkarzinom G3

de
Grad
Diagnose
Wenig differenziertes papilläres Urothelkarzinom G3
Diagnose Gruppe
maligner Tumor
Topographie
Harnblase
Topographie Gruppe
Niere, Harnwege
Beschreibung
Papillärer urothelialer Tumor mit ausgeprägter Polymorphie und Verlust der Polarität. Zahlreiche ektatische Gefässe im ödematösen Papillenstroma. In diesem Ausschnitt keine sichere Stromainvasion erkennbar.
Zusatzbefund
Stromainvasion an anderer Stelle und assoziiertes Carcinoma in situ.
Klinik
Papillärer Harnblasentumor. Makrohämaturie.
Bilder Typ
Histologie
Vergrösserung
200
Geschlecht
weiblich
Datum
Ersteintrag: 13.01.2002
Update: 17.04.2005