Wichtiger Sicherheitshinweis: Pathorama wurde zwischen dem 26. und 27. Dezember 2025 angegriffen. Falls Sie die Website in diesem Zeitraum besucht haben, lesen Sie bitte die wichtigen Informationen hier:
Zur Information

n/ Herzfehlerzellen

Diagnose
Herzfehlerzellen
Diagnose Gruppe
vaskulär / Durchblutungsstörung
Differenzialdiagnose
Topographie Gruppe
Lunge, Mediastinum mit Thymus
Topographie
Sputum
Einleitung
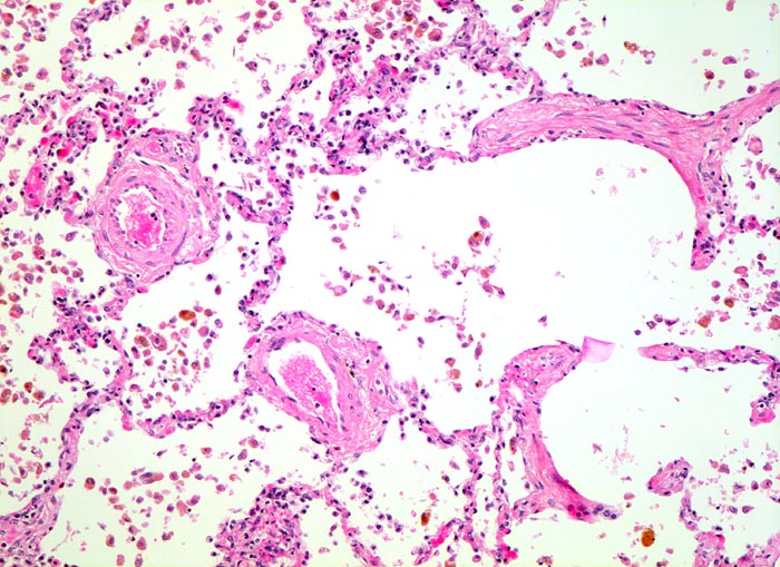
Siderophagen lassen sich im Sputum nach intraalveolären Blutungen nachweisen. Intraalveoläre Blutungen infolge Linksherzinsuffizienz sind die häufigste Ursache. Andere Ursachen für intraalveoläre Blutungen sind Lungeninfarkte, eine toxische Kapillarschädigung, eine Vaskulitis oder Blutaspiration. Der Nachweis von Erythrozyten im Zytoplasma von Makrophagen spricht für eine frische Blutung. Hämosiderin wird nach 3-5 Tagen mit der Eisenfärbung nachweisbar. Als sicherer Hinweis auf eine ältere Blutung gelten >20% Siderophagen in der BAL.
Klinik
-
Normalbefund
Morphologie
Makroskopie
Virtuelles Präparat
Befund
Pathologischer Befund
Normalbefund
Literatur
Datum
Ersteintrag: 01.04.2003
Update: 01.04.2003