Wichtiger Sicherheitshinweis: Pathorama wurde zwischen dem 26. und 27. Dezember 2025 angegriffen. Falls Sie die Website in diesem Zeitraum besucht haben, lesen Sie bitte die wichtigen Informationen hier:
Zur Information

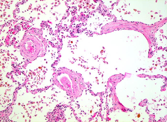
PathoPic – image database / PathoPic ID 5041 - chronische Lungenstauung: Venulosklerose

de
Diagnose
chronische Lungenstauung: Venulosklerose
Diagnose Gruppe
vaskulär / Durchblutungsstörung
Topographie
Lunge
Topographie Gruppe
Lunge, Mediastinum mit Thymus
Beschreibung
Die Alveolarsepten sind deutlich fibrotisch verdickt und enthalten eine verminderte Anzahl Kapillaren. Die Alveolen enthalten zahlreiche braun gefärbte Alveolarmakrophagen, welche die aus den Alveolarkapillaren ausgetretenen Erythrozyten phagozytieren. Zwei Venolen mit verdickter Gefässwand.
Zusatzbefund
-
Klinik
Patient mit Mitralinsuffizienz.
Bilder Typ
Histologie
Vergrösserung
100
Alter
71
Geschlecht
männlich
Datum
Ersteintrag: 06.10.2002