Wichtiger Sicherheitshinweis: Pathorama wurde zwischen dem 26. und 27. Dezember 2025 angegriffen. Falls Sie die Website in diesem Zeitraum besucht haben, lesen Sie bitte die wichtigen Informationen hier:
Zur Information

g/ Adenosarkom des Uterus

Diagnose
Adenosarkom des Uterus
Diagnose Gruppe
maligner Tumor
Differenzialdiagnose
Topographie Gruppe
Mamma
Topographie
Uterus
Einleitung
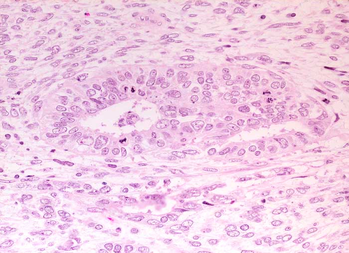
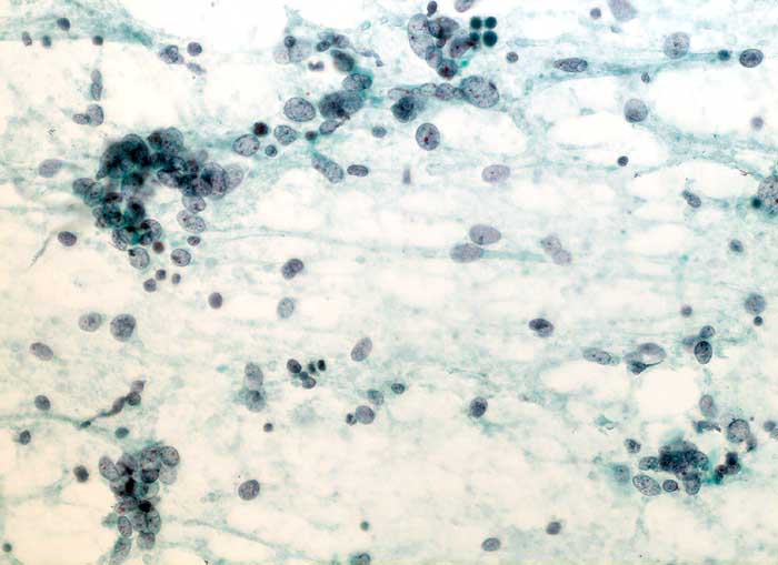
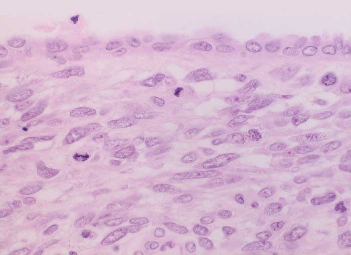
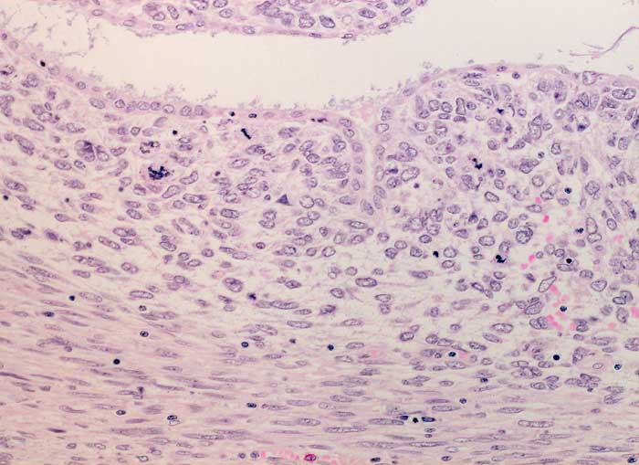
Die Sarkome des Uterus umfassen monomorphe Sarkome und gemischte Sarkome. Das Adenosarkom gehört zusammen mit dem malignen Müllerschen Mischtumor (Karzinosarkom) zu den gemischten Sarkomen. Der epitheliale Anteil des Adenosarkoms ist im Gegensatz zum Müllerschen Mischtumor gutartig. Im Frischgewebsausstrich sind die malignen spindelförmigen Zellen des Stromasarkoms erkennbar. Im Gegensatz zum Müllerschen Mischtumor sind aber keine Karzinomzellen nachweisbar. Das zytologische Bild ist entsprechend weniger bunt.
Klinik
-
Normalbefund
Morphologie
Makroskopie
Virtuelles Präparat
Befund
Pathologischer Befund
Normalbefund
Literatur
Datum
Ersteintrag: 01.04.2003
Update: 01.04.2003