Wichtiger Sicherheitshinweis: Pathorama wurde zwischen dem 26. und 27. Dezember 2025 angegriffen. Falls Sie die Website in diesem Zeitraum besucht haben, lesen Sie bitte die wichtigen Informationen hier:
Zur Information

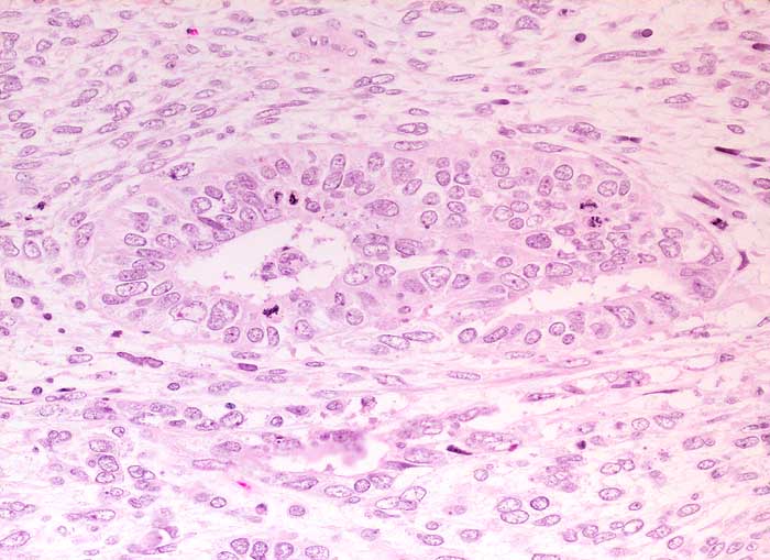
PathoPic – image database / PathoPic ID 6291 - Adenosarkom

de
Diagnose
Adenosarkom
Diagnose Gruppe
maligner Tumor
Topographie
Uterus
Topographie Gruppe
Genitalorgane, weiblich
Beschreibung
Mehrreihige Drüse ausgekleidet von Müllerschem Epithel vom proliferativen endometrioiden Typ mit mehreren Mitosen. Das angrenzende Stroma ist sehr zellreich und polymorph.
Klinik
Postmenopausale Blutungsstörung, sonographisch suspekter Endometriumbefund, klinisch V.a. Endometriumkarzinom.
Kommentar
Im Gegensatz zum Karzinosarkom liegen die Drüsen des Adenosarkoms einzeln in einem zellreichen sarkomatösen Stroma und bilden keinen zusammenhängenden offensichtlich malignen Tumor. Die Drüsenepithelien können jedoch Atypien und Zeichen der proliferativen Aktivität aufweisen.
Bilder Typ
Histologie
Vergrösserung
200
Alter
84
Geschlecht
unbekannt
Datum
Ersteintrag: 31.01.2003
Update: 10.08.2010