Wichtiger Sicherheitshinweis:
Pathorama wurde zwischen dem
26. und 27. Dezember 2025
angegriffen. Falls Sie die Website in diesem Zeitraum besucht haben, lesen Sie bitte die wichtigen Informationen hier:
Zur Information
Pathopic
HiPaKu
ZyPaKu
Projektinfos
PathoPic - Projekt- und Copyright-Info
About
Pathopic
HiPaKu
ZyPaKu
PathoPic – image database
/
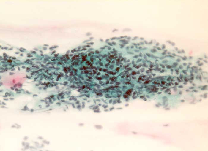
PathoPic ID 6116 - endometriale Stromazellen
de
Diagnose
endometriale Stromazellen
Diagnose Gruppe
Normalbefund
Topographie
Zervix
Topographie Gruppe
Genitalorgane, weiblich
Beschreibung
Zervixabstrich: Verband spindeliger Zellen mit dunklem regelmässigem Chromatin und schmalem Zytoplasmasaum.
Kommentar
Zytologische Diagnose: reichlich endometriale Zellen, wahrscheinlich Stromazellen, unverdächtig.
Bilder Typ
Zytologie
Vergrösserung
320
Alter
34
Geschlecht
unbekannt
Datum
Ersteintrag: 21.01.2003
Update: 30.07.2010
CPS
·
©
2025 Institut für Pathologie Basel
/
Dr. med. Katharina Glatz-Krieger
.
·
v2.2