Wichtiger Sicherheitshinweis: Pathorama wurde zwischen dem 26. und 27. Dezember 2025 angegriffen. Falls Sie die Website in diesem Zeitraum besucht haben, lesen Sie bitte die wichtigen Informationen hier:
Zur Information

g/ Endometrioides Adenokarzinom des Endometrium

Diagnose
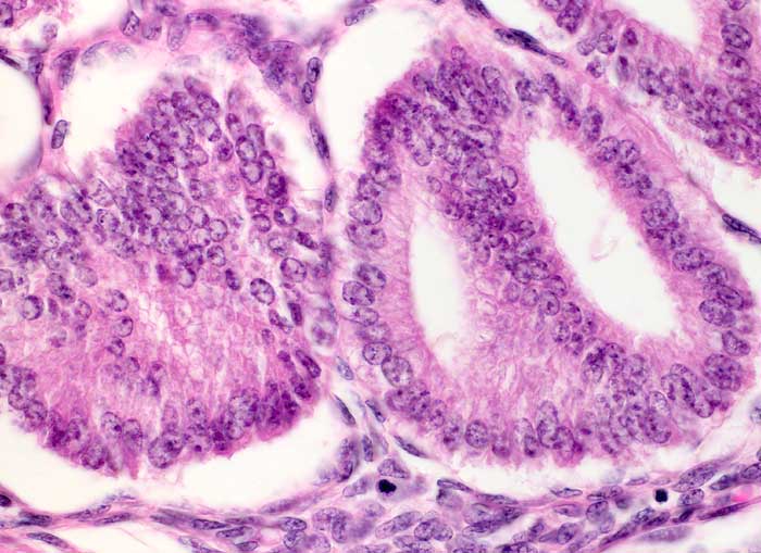
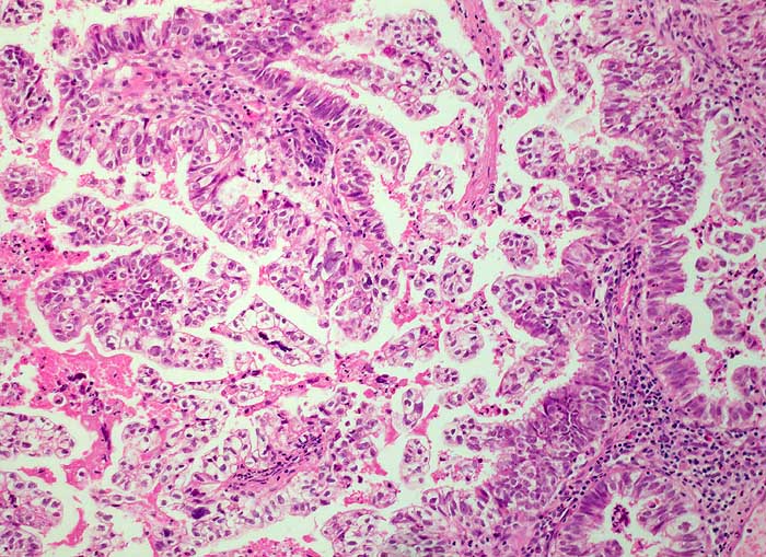
Endometrioides Adenokarzinom des Endometrium
Diagnose Gruppe
maligner Tumor
Differenzialdiagnose
Topographie Gruppe
Mamma
Topographie
Uterus
Einleitung
Abstriche aus dem Cavum Uteri und der Portio/Zervix-Abstrich, nicht aber die Spülzytologie zeigen einen typischen Exsudathintergrund mit frischen oder zerfallenden Erythrozyten, Fibrin, Zelldetritus und grossen Histiozyten. Im Portioabstrich erscheinen die Karzinomzellen meist einzeln oder in kleinen Gruppen und sind degenerativ verändert. Beim direkten Endometriumabstrich findet man zusammenhängende Zellhaufen, deren zytologischen Details wegen Überlagerungen oft nicht gut zu erkennen sind. Einzeln liegende Zellen kommen vor allem bei wenig differenzierten Karzinomen vor. Die Kerne sind etwa doppelt so gross wie normale Zylinderzellen. Die Chromatinkörnchen sind nie so grob wie beim Plattenepithelkarzinom. Kleine Nukleolen lassen sich meist nachweisen, Makronukleolen jedoch nur in 5% der Fälle. Anomalien der Kernmembran mit Kerben und Nasenbildung kommen vor allem beim wenig differenzierten Karzinom vor.
Indirekte Zeichen für ein Karzinom sind der typische Exsudathintergrund, hoher Aufbau des Vaginalepithels und Endometriumzellen im PC-Abstrich nach der Menopause, sowie Endometriumzellen in der zweiten Zyklushälfte vor der Menopause.
Klinik
-
Normalbefund
Morphologie
Makroskopie
Virtuelles Präparat
Befund
Pathologischer Befund
Normalbefund
Literatur
Datum
Ersteintrag: 01.04.2003
Update: 01.04.2003