Wichtiger Sicherheitshinweis:
Pathorama wurde zwischen dem
26. und 27. Dezember 2025
angegriffen. Falls Sie die Website in diesem Zeitraum besucht haben, lesen Sie bitte die wichtigen Informationen hier:
Zur Information
Pathopic
HiPaKu
ZyPaKu
Projektinfos
PathoPic - Projekt- und Copyright-Info
About
Pathopic
HiPaKu
ZyPaKu
PathoPic – image database
/
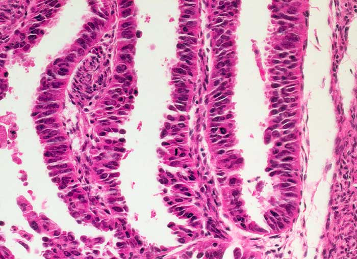
PathoPic ID 6395 - Endometroides Adenokarzinom
de
Diagnose
Endometroides Adenokarzinom
Diagnose Gruppe
maligner Tumor
Topographie
Endometrium
Topographie Gruppe
Genitalorgane, weiblich
Beschreibung
Von endometriumähnlichem atypischem Epithel ausgekleidete Drüsenschläuche mit schlankem fibrovaskulärem Stromastiel.
Klinik
Adenokarzinom des Endometriums.
Bilder Typ
Histologie
Vergrösserung
200
Alter
56
Geschlecht
unbekannt
Datum
Ersteintrag: 11.02.2003
Update: 10.08.2010
CPS
·
©
2025 Institut für Pathologie Basel
/
Dr. med. Katharina Glatz-Krieger
.
·
v2.2