Wichtiger Sicherheitshinweis: Pathorama wurde zwischen dem 26. und 27. Dezember 2025 angegriffen. Falls Sie die Website in diesem Zeitraum besucht haben, lesen Sie bitte die wichtigen Informationen hier:
Zur Information

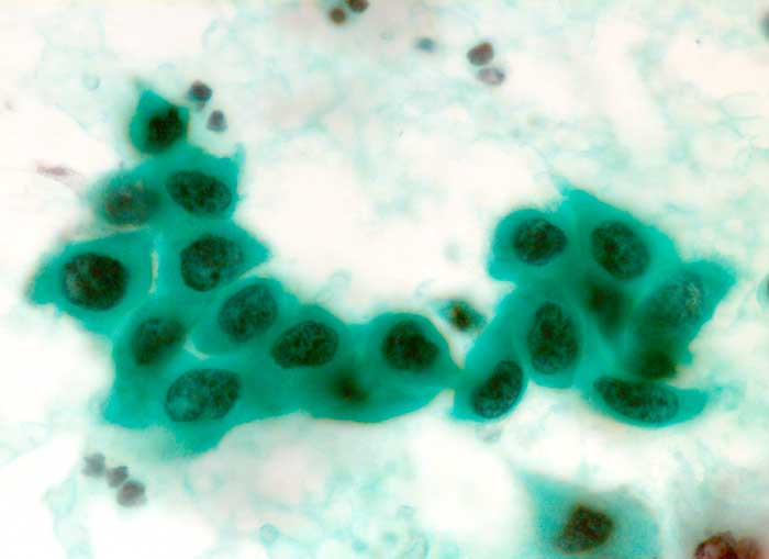
PathoPic – image database / PathoPic ID 6263 - Endometroides Adenokarzinom

de
Diagnose
Endometroides Adenokarzinom
Diagnose Gruppe
maligner Tumor
Topographie
Endometrium
Topographie Gruppe
Genitalorgane, weiblich
Beschreibung
Cavum uteri, Spülflüssigkeit: Hochgradig atypische Epithelien. Die Kerne sind rund bis ovalär, oft auch polymorph. Das Chromatin ist grob gekörnt und unregelmässig. Die Kernfläche ist deutlich vergrössert. Das Zytoplasma ist schmal und uncharakteristisch.
Klinik
Adenokarzinom des Endometriums.
Bilder Typ
Zytologie
Vergrösserung
630
Alter
56
Geschlecht
unbekannt
Datum
Ersteintrag: 30.01.2003
Update: 10.08.2010