Wichtiger Sicherheitshinweis: Pathorama wurde zwischen dem 26. und 27. Dezember 2025 angegriffen. Falls Sie die Website in diesem Zeitraum besucht haben, lesen Sie bitte die wichtigen Informationen hier:
Zur Information

Basel 1MA/ Rheumatoide Arthritis Interphalangealgelenk

Diagnose
Rheumatoide Arthritis Interphalangealgelenk
Diagnose Gruppe
Systemerkrankung/Immunpathologie
Differenzialdiagnose
  • - Arthrose
Topographie Gruppe
Knochen, Knorpel, Gelenke
Topographie
Gelenk, Hand
Einleitung
Aetiologie:
Die Rheumatoide Arthritis (RA) ist eine chronische, multifaktorielle, systemisch inflammatorische Krankheit, deren Ätiologie und Pathogenese nur teilweise geklärt ist. Die RA verläuft über viele Jahre in Schüben und Remissionen und kann ungenügend behandelt zu schweren Gelenkdestruktionen mit Funktionseinschränkung bis hin zur Versteifung (= Ankylose) führen. Als Auslöser werden Infekte, genetische Prädisposition und/oder Autoimmunvorgänge diskutiert.

Lokalisation:
Die Entzündung betrifft primär die Synovialis. Als Systemerkrankung sind aber auch zahlreiche Organe ausserhalb des Bewegungsapparates mitbetroffen. Subkutane Rheumagranulome, Epi-, Endo- und Myokarditis, leukozytoklastische Vaskulitis, normozytäre hypochrome Anämie, Pleuritis, Pleurafibrose, interstitielle Lungenfibrose, Hepatitis, Skleritis, gelenkferne Osteoporose oder sekundäre AA-Amyloidose können u.a. im Verlauf der Erkankung auftreten. Im Gegensatz zur Arthrose sind primär die kleinen peripheren und weniger belasteten Gelenke betroffen (Hand- und Sprunggelenke sowie metakarpophalangeale, proximale interphalangeale und metatarsophalangeale Gelenke). Später folgt eine zentripetale Gelenkbefallsausweitung (Ellbogen, Schultern, Knie, Hüften), typischerweise mit symmetrischem Muster (bilateraler Befall mindestens einer Gelenkgruppe). Ein asymmetrischer, mono- bis oligoartikulärer Beginn ist aber ebenfalls möglich. Insbesondere bei ungewöhnlicher Präsentation kann eine Biopsie für die Diagnosefindung einen entscheidenden Beitrag leisten.

Morphologie:
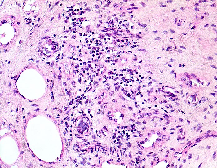
Morphologisch finden sich primär unspezifische entzündliche Veränderungen in der Synovialis, mit Infiltration neutrophiler Granulozyten und mononukleärer Zellen, Gefässproliferaten und einer reaktiven Proliferation von Synovialisdeckzellen. Im Verlauf der Erkrankung ändert sich das entzündliche Infiltrat und besteht dann v.a. aus Lymphozyten, Plasmazellen und Lymphfollikeln. Es folgt die Ausbildung eines bindegewebigen Pannus, der zwischen die hyalinen Knorpelflächen des Gelenkes vorwächst, zu Diffusionsstörungen und zur Arrosion und Destruktion des hyalinen Knorpels führt. Gleichzeitig greift das entzündliche synoviale Pannusgewebe den Knochen im lateralen Ansatzbereich der Gelenkkapsel an, kann in die subchondralen Räume einbrechen und dort zu Destruktion und Zystenbildung führen.

Verlauf:
Bei ungenügender Behandlung führen wiederholte Entzündungsschübe nach jahrelangem Verlauf zur Destruktion des Gelenkknorpels, der Gelenkflächen, des Knochens und schliesslich zur bindegewebigen und knöchernen Versteifung (Ankylose).

update 5.9.2018
Klinik
Vorkommen:
Inzidenz: 30:100'000 pro Jahr. Die Prävalenz liegt bei einem Prozent der Bevölkerung. Bis zu 70% der Patienten sind Frauen. Der Erkrankungsbeginn liegt am häufigsten im 3.-4. Lebensjahrzehnt. Kinder unter 16 Jahre mit juveniler rheumatoider Arthritis machen 6% aller Fälle aus.

Symptomatik:
Die Krankheit beginnt schleichend oder abrupt, nach unspezifischen Prodromen mit Schmerzen, Schwellung und Rötung der peripheren kleinen Gelenke, vorwiegend der Interphalangealgelenke und der kleinen Handwurzelgelenke. Die morgendliche Gelenksteife ist charakteristisch.

Diagnostik:
In der frühen klinischen Untersuchung zeigen sich inspektorisch spindelförmige Schwellungen der kleinen Gelenke mit verstrichenen Gelenkskonturen, begleitet von artikulären Druckdolenzen (schmerzhafter Händedruck bei Entzündung der Fingergrundgelenke) sowie Kraftverlust. Bei grösseren Gelenken können Ergüsse palpiert werden. Ein Sehnenreiben infolge von Tenosynovitiden muss gezielt gesucht werden. Bei ungenügender Behandlung können im Spätverlauf typische Gelenksdeformitäten hinzukommen (Ulnardeviation der Finger, Schwanenhals- und Knopflochdeformitäten).
Im Labor sollten immunserologisch Rheumafaktoren und Antikörper gegen zyklische zitrullinierte Peptide (CCP) bestimmt werden. Anti-CCP-Antikörper haben eine hohe Spezifität (94-99%). Rheumafaktoren haben eine etwas höhere Sensitivität als anti-CCP-Antikörper, lassen sich aber auch bei Kollagenosen, Infektionen, Neoplasien und gelegentlich in der gesunden Normalbevölkerung nachweisen.

Therapie:
Die Einleitung einer krankheitsmodifizierenden Basistherapie mit sowohl anti-inflammatorischen, als auch anti-erosiver Wirkung, welche den Fortschritt der Erkrankung verzögern oder auch stoppen kann, sollte innert 3 Monaten nach Krankheitsbeginn erfolgen. Dies ist äusserst wichtig, denn die Zerstörung der Gelenke setzt früh im Krankheitsverlauf ein (Nachweis von Knochenerosionen mittels MRI bereits bei 30% der RA-Patienten in den ersten 3 Monaten). Zudem ist das therapeutische Ansprechen im Frühstadium besser als zu einem späteren Zeitpunkt. Die Patienten werden engmaschig (in der Regel monatlich) überwacht, damit die Therapie bei ungenügender Suppression der Entzündungsaktivität angepasst werden kann.

Prognose:
Die Prognose ist äusserst variabel, als ungünstig gilt der Befall grosser Gelenke.

update 5.9.2018
Normalbefund
Morphologie
Morphologische Merkmale:
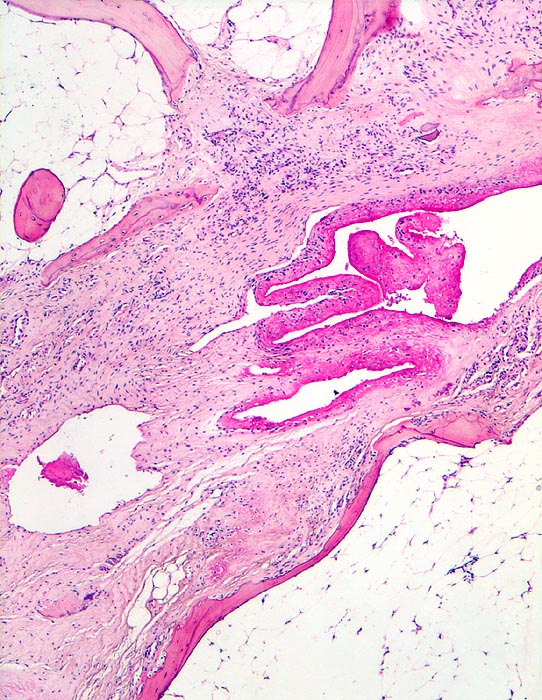
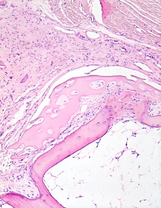
  • Fingergelenk in Subluxationsstellung.
  • Die Gelenkflächen sind grösstenteils durch bindegewebiges Pannusgewebe zerstört.
  • Das Pannusgewebe enthält abgesprengte Knochen- und Knorpelfragmente, Fibroblasten und wenig Entzündungszellen.
  • Wenig Fibrinauflagerungen im Gelenkspalt.
  • Osteoporose der Spongiosa in beiden artikulierenden Knochen mit starker Rarefizierung und verminderter Vernetzung der Spongiosabälkchen.
Das sollte der Kliniker dem Pathologen mitteilen:
  • Ätiologie der Gelenkveränderungen.
Makroskopie
Befund
Pathologischer Befund
Normalbefund
Literatur
Datum
Ersteintrag: 15.03.2019
Update: 15.03.2019