Wichtiger Sicherheitshinweis: Pathorama wurde zwischen dem 26. und 27. Dezember 2025 angegriffen. Falls Sie die Website in diesem Zeitraum besucht haben, lesen Sie bitte die wichtigen Informationen hier:
Zur Information

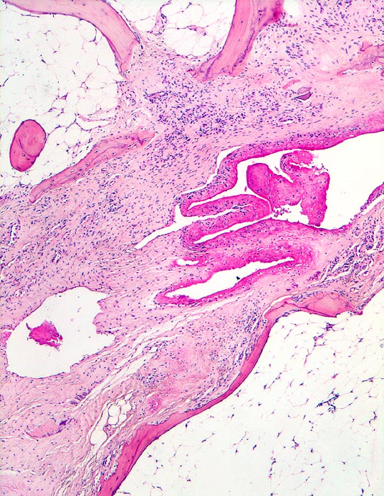
PathoPic – image database / PathoPic ID 4609 - Rheumatoide Arthritis: Ankylose

de
Diagnose
Rheumatoide Arthritis: Ankylose
Diagnose Gruppe
Systemerkrankung/Immunpathologie
Topographie
Gelenk, Hand
Topographie Gruppe
Knochen, Knorpel, Gelenke
Beschreibung
Die Gelenkflächen sind durch bindegewebiges Pannusgewebe zerstört, welches den Gelenkknorpel resorbiert hat. Der Pannus überbrückt und fixiert den Gelenkspalt. Wenig Fibrinauflagerungen im Gelenkspalt.
Klinik
Langjährige rheumatoide Arthritis mit Deformation der Fingergelenke und Ulnardeviation der Finger.
Bilder Typ
Histologie
Vergrösserung
50
Alter
72
Geschlecht
unbekannt
Datum
Ersteintrag: 04.07.2002
Update: 30.03.2009