Wichtiger Sicherheitshinweis:
Pathorama wurde zwischen dem
26. und 27. Dezember 2025
angegriffen. Falls Sie die Website in diesem Zeitraum besucht haben, lesen Sie bitte die wichtigen Informationen hier:
Zur Information
Pathopic
HiPaKu
ZyPaKu
Projektinfos
PathoPic - Projekt- und Copyright-Info
About
Pathopic
HiPaKu
ZyPaKu
PathoPic – image database
/
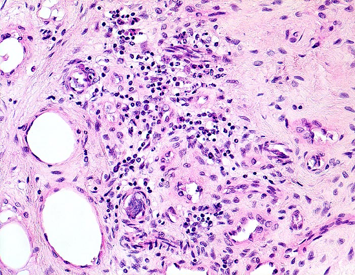
PathoPic ID 4610 - Rheumatoide Arthritis: Pannusgewebe
de
Diagnose
Rheumatoide Arthritis: Pannusgewebe
Diagnose Gruppe
Systemerkrankung/Immunpathologie
Topographie
Gelenk, Hand
Topographie Gruppe
Knochen, Knorpel, Gelenke
Beschreibung
Bindegewebiger Pannus mit
Fibroblasten,
Kapillaren und geringem gemischtem Entzündungsinfiltrat in der Bildmitte.
Klinik
Langjährige rheumatoide Arthritis mit Deformation der Fingergelenke und Ulnardeviation der Finger.
Bilder Typ
Histologie
Vergrösserung
200
Alter
72
Geschlecht
unbekannt
Datum
Ersteintrag: 04.07.2002
Update: 30.03.2009
CPS
·
©
2025 Institut für Pathologie Basel
/
Dr. med. Katharina Glatz-Krieger
.
·
v2.2