Wichtiger Sicherheitshinweis: Pathorama wurde zwischen dem 26. und 27. Dezember 2025 angegriffen. Falls Sie die Website in diesem Zeitraum besucht haben, lesen Sie bitte die wichtigen Informationen hier:
Zur Information

Basel 1MA/ Ewing-Sarkom

Diagnose
Ewing-Sarkom
Diagnose Gruppe
maligner Tumor
Differenzialdiagnose
  • Small blue round cell Tumor (Neuroblastom
  • Rhabdomyosarkom
  • Lymphom)
  • Medulloblastom
Topographie Gruppe
Weichteile
Topographie
Weichteile Bein
Einleitung
Histogenese:
Das Ewing Sarkom zählt zu den Tumoren neuroektodermalen Ursprungs und weist nahezu uniform balancierte Translokationen auf, die zur Fusion von EWSR1 mit einem Mitglied der ETS Transkriptionsfaktorfamilie führen (am häufigsten FLI1). Die Tumoren exprimieren kräftig, konstant und membranös CD99 und enthalten oft Glykogen in ihrem Zytoplasma. Es handelt sich nach den Osteosarkomen um den zweithäufigsten malignen Knochentumor im Kindesalter. In letzter Zeit sind durch die zunehmende Sequenzierung von Tumoren eine Reihe von Läsionen beschrieben worden, die morphologisch den Ewing Sarkomen ähnlich sind und ebenfalls rekurrierende Translokationen aufweisen, wobei sich neben EWSR1 auch FUS und eine Reihe anderer Gene an den Fusionen beteiligen. Man spricht von der Gruppe der Ewing-like Sarkome, die sich im klinischen Verlauf teils deutlich von den klassischen Tumoren unterscheiden (z.B. BCOR-CCNB3- und CIC-DUX4-assoziierte Sarkome).

Lokalisation:
Meist entstehen Ewing Sarkome primär im Knochen. Es kommen aber auch extraskelettale Formen vor. Prinzipiell können alle Skelettabschnitte betroffen sein. Bevorzugt befallen sind aber die langen Röhrenknochen (diaphysär), das Stammskelett, der Schädel, die Rippen und der Beckengürtel. Extraskelettale Ewing Sarkome liegen am häufigsten paravertebral oder in der Brustwand, seltener in anderen Weichteilen.

Morphologie:
Die Tumoren sind makroskopisch grauweiss und wachsen destruktiv und infiltrativ. Nekrosen und Einblutungen sind häufig. Histologisch lassen sich solide Rasen monomorpher, kleiner, rundlicher Tumorzellen mit dichtem Chromatin und wenig Zytoplasma nachweisen (sog. small-blue-round cells). Metastasen treten vor allem in der Lunge und in anderen Skelettabschnitten auf. Die Differentialdiagnose klein-blau- und rundzelliger Tumoren im Kindesalter ist breit. Kleinzellige Osteosarkome, Neuroblastome, Lymphome und mesenchymale Chondrosarkome können ein histologisch ähnliches Bild zeigen, speziell in kleinen Biopsien, und müssen mit Hilfe von (molekularen) Zusatzuntersuchungen und unter Einbezug klinischer und radiologischer Befunde voneinander abgegrenzt werden.

update 5.9.2018
Klinik
Vorkommen:
Das Durchnittsalter der Patienten mit Ewing Sarkom liegt bei 13 Jahren. 90% der häufiger männlichen Patienten sind unter 30 Jahre alt.

Symptomatik:
Klinisch stehen lokalisierte Schmerzen und eine Schwellung der betroffenen Region im Vordergrund. Pathologische Frakturen sind selten (5%). Wegen zusätzlicher systemischer Symptome wie Fieber, Anämie, Leukozytose und erhöhter Blutsenkungsgeschwindigkeit können die Tumoren als Osteomyelitis verkannt werden. Die radiologischen Veränderungen sind ebenfalls vielfältig und können eine Osteomyelitis, ein Lymphom, eine Langerhanszell-Histiozytose oder ein Osteosarkom imitieren.

Therapie:
Die Patienten werden (neo-)adjuvant chemotherapiert und operiert und/oder lokal bestrahlt. Die 5 Jahres-Überlebensrate liegt etwa bei 65-75% bei lokalisierten bzw. bei <30% bei metastasierten Tumoren.

update 5.9.2018
Normalbefund
Morphologie
Morphologische Merkmale:
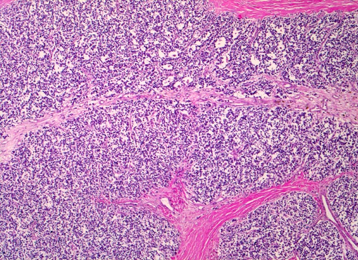
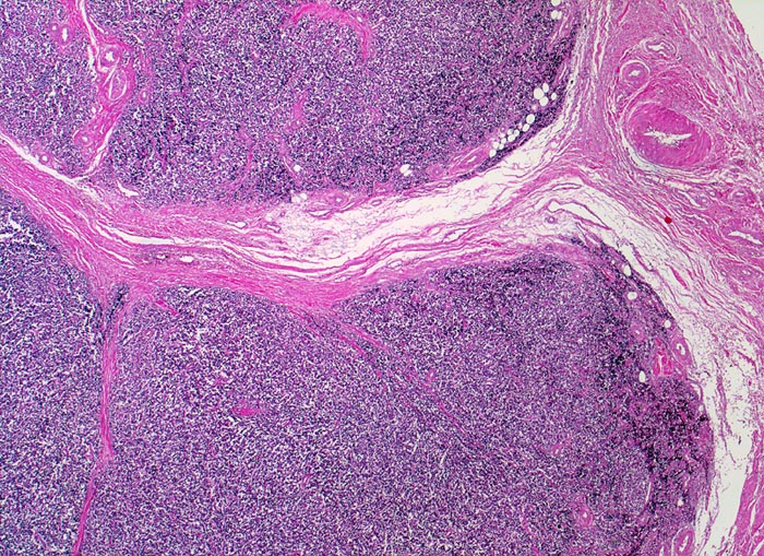
  • Durch Bindegewebssepten abgegrenzte Knoten (lobuläre Architektur).
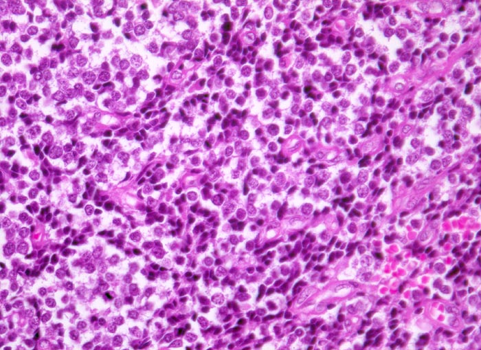
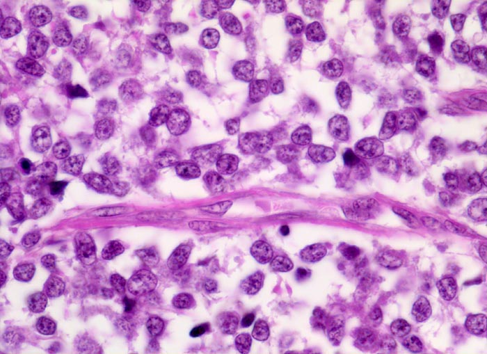
  • Blauer, klein- und rundzelliger Tumor.
  • Uniforme Zellen mit schmalem, kaum abgrenzbarem Zytoplasmasaum und unscharfen Zellgrenzen. Rundliche oder ovale Zellkerne mit leicht vergröbertem Chromatin und punktförmigen kleinen Nukleolen.
  • Quetschartefakte (gequetschte Zellen sind dunkler und haben verkleinerte abgeflachte Zellkerne).
Das sollte der Kliniker dem Pathologen mitteilen:
  • Genaue Lokalisation.
  • Radiologischer Befund.
Makroskopie
Virtuelles Präparat
Befund
Pathologischer Befund
Normalbefund
Literatur
Datum
Ersteintrag: 10.07.2019
Update: 10.07.2019