Wichtiger Sicherheitshinweis: Pathorama wurde zwischen dem 26. und 27. Dezember 2025 angegriffen. Falls Sie die Website in diesem Zeitraum besucht haben, lesen Sie bitte die wichtigen Informationen hier:
Zur Information

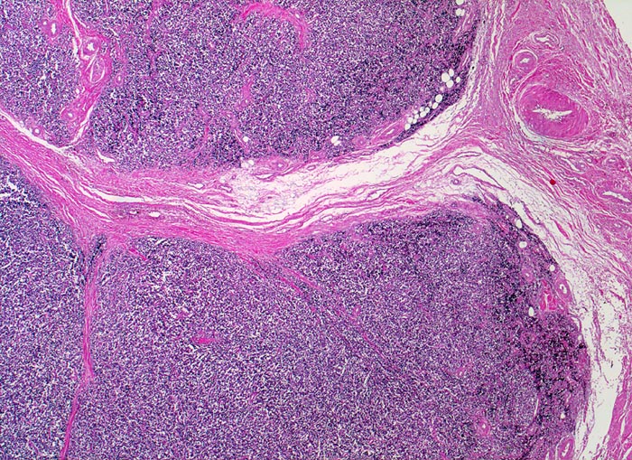
PathoPic – image database / PathoPic ID 4513 - Ewing-Sarkom

de
Diagnose
Ewing-Sarkom
Diagnose Gruppe
maligner Tumor
Topographie
Weichteile Bein
Topographie Gruppe
Weichteile
Beschreibung
Auffallend monotoner dichter Tumorzellrasen mit lobulärer Architektur (d.h. durch Bindegewebssepten abgegrenzte Knoten).
Zusatzbefund
Femuramputat mit festem grauweissem intraossärem feucht-glänzendem Tumorgewebe. Die extraossäre Weichteilkomponente ist weicher und brüchiger. Der Gewebsschnitt stammt aus der extraossären Weichteilkomponente.
Klinik
Zunehmende Schmerzen im rechten Oberschenkel mit Weichteilschwellung- und Erwärmung seit mehreren Monaten. Keine Traumaanamnese. Klinisch wird zunächst eine Osteomyelitis vermutet. Aufgrund der Röntgenaufnahme, welche neben einer Weichteilmasse eine schlecht begrenzte, lytische Läsion in der Diaphyse des Femurs mit zwiebelschalenförmiger Periostreaktion zeigt, wird ein maligner Knochentumor diagnostiziert.
Kommentar
Die Ewing Sarkome gehören zur morphologischen Gruppe der "small blue round cell" Tumoren. Zu dieser heterogenen Gruppe aus kleinen runden Zellen bestehenden Tumoren gehören neben den Ewing Sarkomen die verwandten primitiven neuroektodermalen Tumoren (PNET), Rhabdomyosarkome, Neuroblastome, kleinzellige Lymphome, wenig differenzierte und kleinzellige Karzinome, Merkelzellkarzinome, maligne Mesotheliome, kleinzellige Melanome und desmoplastische klein- und rundzellige Tumoren. Weil diese unterschiedlichen Tumoren morphologisch sehr ähnlich sein können, braucht es exakte klinische Angaben und Hilfsuntersuchungen (Spezialfärbungen, Immunhistochemie, molekularbiologischer Nachweis spezifischer zytogenetischer Veränderungen) für eine korrekte Diagnosestellung.
Bilder Typ
Histologie
Vergrösserung
25
Alter
12
Geschlecht
männlich
Datum
Ersteintrag: 06.10.2002