Wichtiger Sicherheitshinweis: Pathorama wurde zwischen dem 26. und 27. Dezember 2025 angegriffen. Falls Sie die Website in diesem Zeitraum besucht haben, lesen Sie bitte die wichtigen Informationen hier:
Zur Information

Basel 3BA HS/ Chronische Lungenstauung

Diagnose
Chronische Lungenstauung
Diagnose Gruppe
vaskulär / Durchblutungsstörung
Differenzialdiagnose
Topographie Gruppe
Lunge, Mediastinum mit Thymus
Topographie
Lunge
Einleitung
Aetiologie:
 Die chronische Stauungslunge entwickelt sich bei häufig rezidivierenden oder bei chronischen Stauungszuständen. Die häufigsten Ursachen für das Linksherzversagen sind die koronare Herzkrankheit, arterielle Hypertonie, valvuläre Herzkrankheiten und kongenitale Vitien. Die stärksten Veränderungen sind bei einer Mitralstenose zu erwarten. Das interstitielle Ödem führt zu einer Fibroblastenproliferation mit alveoloseptaler Fibrose.

Morphologie:
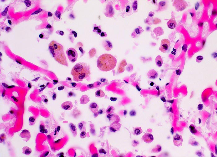
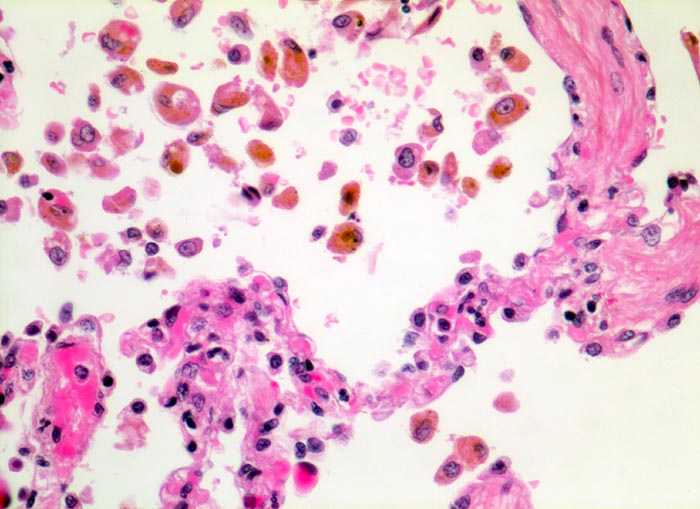
 In einer frühen Phase kommt es zur roten Stauungsinduration, welche in eine braune Stauungsinduration übergeht. Die Eindrückbarkeit der Lungen ist aufgrund der Fibrosierung der Alveolarsepten vermindert. Die meist fleckförmige braune Verfärbung beruht auf der Anhäufung von hämosiderinhaltigen Herzfehlerzellen in den Alveolarlichtungen. Makrophagen in den Alveolarlichtungen phagozytieren die ausgetretenen Erythrozyten. Der Nachweis von Erythrozyten im Zytoplasma von Makrophagen spricht für eine frische Blutung. Nach 3-5 Tagen ist in den Makrophagen Hämosiderin nachweisbar. Das Hämosiderin lässt sich mittels Eisenfärbung (Berliner-Blau) zuverlässig von Staubpigment abgrenzen. Als sicheres Zeichen für eine ältere Blutung gelten >20% hämosiderinspeichernde Makrophagen in der bronchoalveolären Lavage (BAL). Die hämosiderinhaltigen Alveolarmakrophagen werden auch Herzfehlerzellen genannt, da sie gehäuft im Rahmen einer linkskardialen Stauung bei Mitralklappenstenose auftreten.
Aufgrund des erhöhten Druckes in den Lungenkapillaren kommt es zur sekundären Pulmonalarteriensklerose. Die Befunde an den Pulmonalarterien sind bei primärer und sekundärer pulmonaler Hypertonie prinzipiell gleich. Die Pulmonalarterienhauptstämme zeigen Atherombildungen (> 3698) (> 3589) und eine Mediafibrose. Die elastischen Pulmonalarterienäste entwickeln atheromatöse Polster, welche makroskopisch als gelbe Flecken erkennbar sind. Ulzera oder Verkalkungen wie in den Arterien des grossen Kreislaufes werden jedoch kaum beobachtet. Die Veränderungen an kleineren muskulären Arterien (Mediahypertrophie, zelluläre Intimaproliferation, Intimafibrose, Wandnekrosen bei sehr hohen Drücken) und Venolen (Venulosklerose) sind nur histologisch nachweisbar. 
Klinik
Symptomatik:
 Patienten mit chronischer Lungenstauung zeigen die Symptome einer Linksherzinsuffizienz mit Anstrengungsdyspnoe, Orthopnoe, nächtlicher Dyspnoe und produktivem Husten mit rostbraunem schaumigem Sputum. 

Diagnostik:
 Bei der Rechtsherzkatheteruntersuchung besteht eine postkapilläre pulmonale Hypertonie (erhöhter Druck bei geblocktem Pulmonaliskatheter). Meist besteht eine restriktive Ventilationsstörung und eine eingeschränkte Diffusionskapazität. 

Verlauf:
 Bei langdauernder Stauung im kleinen Kreislauf kann es durch Überlastung des rechten Herzens zusätzlich zu einer Stauung im grossen Kreislauf kommen. 
Morphologie
Morphologische Merkmale: 
  • Mediahypertrophie der Pulmonalvenen. 
  • Fibrosierung und Verdickung der Alveolarsepten. 
  • Siderinhaltige Alveolarmakrophagen (=Herzfehlerzellen). 

 Weitere mögliche Befunde bei chronischer Stauung, die im virtuellen Präparat nicht sichtbar sind: 
  • Arterialisierung der Pulmonalvenen (prominente Lamina elastica interna. Nur in EvG Färbung sichtbar). 
  • Muskularisierung der Arteriolen, Mediahypertrophie und Intimaproliferation. Das sollte der Kliniker dem Pathologen mitteilen: 
  • Gründe für eine pulmonalarterielle Hypertonie. 
Makroskopie
Befund
Pathologischer Befund
Normalbefund
Datum
Ersteintrag: 14.03.2019
Update: 06.09.2019