Wichtiger Sicherheitshinweis: Pathorama wurde zwischen dem 26. und 27. Dezember 2025 angegriffen. Falls Sie die Website in diesem Zeitraum besucht haben, lesen Sie bitte die wichtigen Informationen hier:
Zur Information

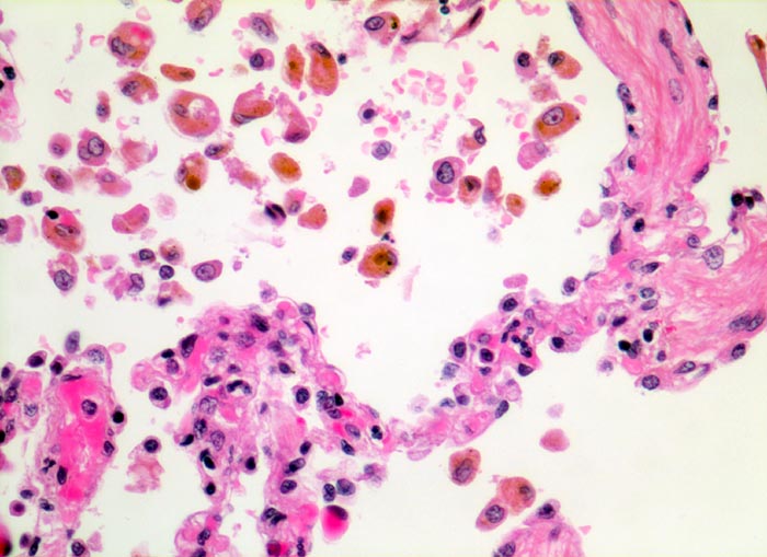
PathoPic – image database / PathoPic ID 5040 - chronische Lungenstauung: Herzfehlerzellen

de
Diagnose
chronische Lungenstauung: Herzfehlerzellen
Diagnose Gruppe
vaskulär / Durchblutungsstörung
Topographie
Lunge
Topographie Gruppe
Lunge, Mediastinum mit Thymus
Beschreibung
Die Alveolarsepten sind deutlich fibrotisch verdickt. Gleichzeitig ist die Gefässausstattung vermindert. Die aus den Kapillaren in die Alveolarräume ausgetretenen Erythrozyten werden von Alveolarmakrophagen phagozytiert. Die Makrophagen enthalten teils intakte Erythrozyten, teils braunes Hämosiderinpigment aus bereits abgebauten Erythrozyten.
Zusatzbefund
-
Klinik
Patient mit Mitralinsuffizienz.
Bilder Typ
Histologie
Vergrösserung
320
Alter
71
Geschlecht
männlich
Datum
Ersteintrag: 05.07.2002