Wichtiger Sicherheitshinweis: Pathorama wurde zwischen dem 26. und 27. Dezember 2025 angegriffen. Falls Sie die Website in diesem Zeitraum besucht haben, lesen Sie bitte die wichtigen Informationen hier:
Zur Information

Basel 3BA HS/ Kleinzelliges Bronchuskarzinom

Diagnose
Kleinzelliges Bronchuskarzinom
Diagnose Gruppe
maligner Tumor
Differenzialdiagnose
  • Lymphom
Topographie Gruppe
Lunge, Mediastinum mit Thymus
Topographie
Lunge
Einleitung
Morphologie:
Kleinzellige Karzinome entwickeln sich bevorzugt zentral.
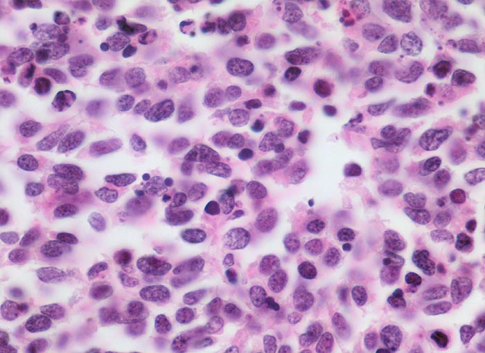
Die monomorphen rundlichen, fusiformen oder polygonalen Tumorzellen haben sehr wenig Zytoplasma, die Kerne sind hyperchromatisch und Nukleolen sind kaum zu erkennen. Die Tumorzellen bilden lockere Verbände, bandförmige Anordnungen oder Pseudorosetten um Gefässe. Oftmals zeigen die Tumoren in der Biopsie charakteristische Quetschartefakte. Ein histologisches Grading wird im Gegensatz zu den nicht kleinzelligen Karzinomen nicht vorgenommen. An kleinen Biopsien kann die morphologische Unterscheidung eines kleinzelligen Karzinoms von einem Lymphom bzw. von normalem lymphatischem Gewebe schwierig sein (> 1101). Diese Unterscheidung gelingt aber meist problemlos mit Hilfe einer immunhistochemischen Zusatzuntersuchung (> 1100).
Klinik
Vorkommen:
Kleinzellige Karzinome kommen allein oder zu etwa 20% auch in Kombination mit nicht kleinzelligen Karzinomen vor.

Symptomatik:
Das Staging beschränkt sich auf eine Einteilung in limited (30%) und extensive disease. Im Stadium der limited disease sind die Karzinome auf einen Hemithorax und regionäre Lymphknoten beschränkt.
Aus klinischer Sicht sind drei Eigenschaften des kleinzelligen Karzinoms wichtig:
  • Der Tumor wächst rasch
  • Der Kleinzeller metastasiert früh hämatogen (> 1214) (> 2056) (> 353) (> 944) (> 875)
  • Paraneoplastische Syndrome (u.a. Schwartz-Bartter Syndrom, Cushing Syndrom) sind häufig
Die meisten Patienten entwickeln rasch Symptome. Bei der initialen Abklärung weisen die Hälfte bis zwei Drittel der Patienten Metastasen ausserhalb des initial befallenen Hemithorax auf.

Prognose:
Unbehandelt führt die Erkrankung innert Wochen zum Tode. Die Gesamtremissionsrate beträgt mit den heute üblichen Kombinationschemotherapien 80%, davon sind 30% Vollremissionen. Die mittlere Überlebenszeit der therapierten Patienten beträgt ein Jahr. Nur gerade 5-10% aller Patienten überleben länger als zwei Jahre. Die kombinierte Radiochemotherapie bringt die besten Resultate allerdings zum Preis einer höhren Toxizität, so dass diese Therapie nur bei jüngeren Patienten in gutem Allgemeinzustand angewandt werden kann. 40% dieser kombiniert behandelten Patienten überleben länger als 2 Jahre.
Morphologie
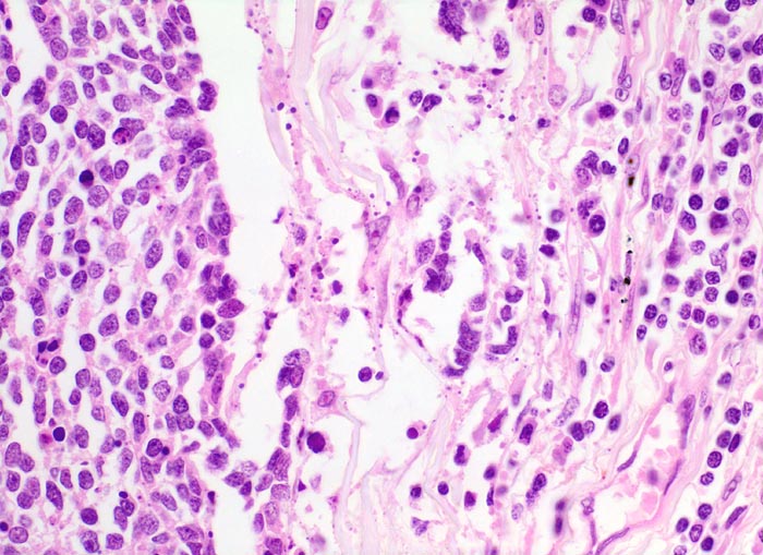
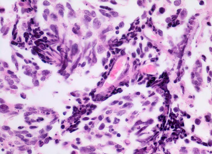
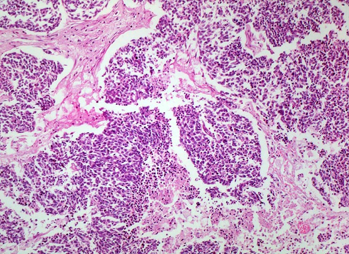
Morphologische Merkmale:
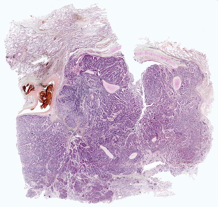
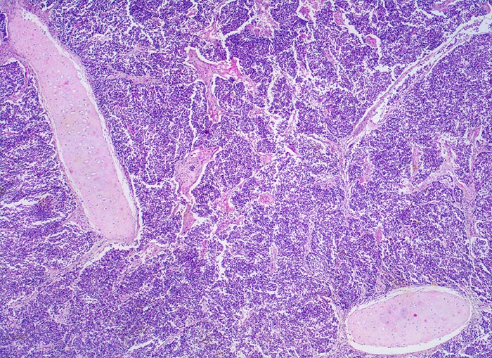
  • Drei Bronchialschleimhautbiopsien ausgekleidet von respiratorischem Flimmerepithel.
  • Blauer, sehr zelldichter solider Tumor in der Submukosa des mittleren Biopsiefragmentes. Die beiden anderen Schleimhautfragmente sind tumorfrei.
  • Tumorzellen mit sehr schmalem Zytoplasmasaum ("nacktkernig").
  • Eckige, ovale oder rundliche Kerne mit uniform feinkörnigem Pfeffer und Salz Chromatin.
  • Tumorzellkerne etwa dreimal so gross wie Lymphozytenkerne.
  • Nukleolen sind nicht erkennbar oder sehr klein.
  • Herdförmig Quetschartefakte (langgezogene Kernschlieren).
  • Sehr zahlreiche Apoptosen und kleinherdige Tumornekrosen.
  • Perineuralscheideninvasion.
Das sollte der Kliniker dem Pathologen mitteilen:
  • Radiologischer Befund.
  • Karzinomverdacht.
  • Nikotinabusus.

update 21. August 2014
Makroskopie
Befund
Pathologischer Befund
Normalbefund
Datum
Ersteintrag: 10.07.2019
Update: 10.07.2019