Wichtiger Sicherheitshinweis: Pathorama wurde zwischen dem 26. und 27. Dezember 2025 angegriffen. Falls Sie die Website in diesem Zeitraum besucht haben, lesen Sie bitte die wichtigen Informationen hier:
Zur Information

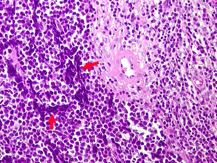
PathoPic – image database / PathoPic ID 1101 - Metastase kleinzelliges Karzinom

de
Diagnose
Metastase kleinzelliges Karzinom
Diagnose Gruppe
maligner Tumor
Topographie
Lymphknoten, mediastinal
Topographie Gruppe
Lymphatische Gewebe, KM, Milz
Beschreibung
Rechts im Bild Reste des Lymphknotengewebes mit einem bunten Gemisch verschiedenartiger Zellen. Links im Bild die im Vergleich mit Lymphozyten wenig grösseren nacktkernigen Tumorzellen mit typischen Quetschartefakten.
Klinik
Vergrösserte Lymphknoten supraklavikulär rechts, thorakal und mediastinal. Unbekannter Primärtumor.
Bilder Typ
Histologie
Alter
58
Geschlecht
unbekannt
Datum
Ersteintrag: 28.11.2001