Wichtiger Sicherheitshinweis: Pathorama wurde zwischen dem 26. und 27. Dezember 2025 angegriffen. Falls Sie die Website in diesem Zeitraum besucht haben, lesen Sie bitte die wichtigen Informationen hier:
Zur Information

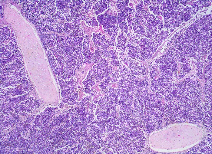
PathoPic – image database / PathoPic ID 4720 - kleinzelliges Bronchuskarzinom

de
Diagnose
kleinzelliges Bronchuskarzinom
Diagnose Gruppe
maligner Tumor
Topographie
Lunge
Topographie Gruppe
Lunge, Mediastinum mit Thymus
Beschreibung
Das Karzinom bildet Stränge, die von schmalen Bindegewebssepten durchzogen werden. Das Tumorgewebe hat einen Segmentbronchus infiltriert und zerstört. Inseln von stehengebliebenem Bronchialknorpel werden vom Tumor umflossen. Aufgrund des hohen Kernanteils ist der Tumor blau gefärbt.
Klinik
Inoperables metastasierendes Bronchuskarzinom. Nikotinabusus 70 Packyears.
Bilder Typ
Histologie
Vergrösserung
25
Alter
55
Geschlecht
männlich
Datum
Ersteintrag: 06.05.2002