Wichtiger Sicherheitshinweis: Pathorama wurde zwischen dem 26. und 27. Dezember 2025 angegriffen. Falls Sie die Website in diesem Zeitraum besucht haben, lesen Sie bitte die wichtigen Informationen hier:
Zur Information

Basel 3BA FS/ Fibroleiomyom des Uterus

Diagnose
Fibroleiomyom des Uterus
Diagnose Gruppe
benigner Tumor
Differenzialdiagnose
Topographie Gruppe
Mamma
Topographie
Uterus
Einleitung
Histogenese:
Es handelt sich um gutartige glattmuskuläre Tumoren mit unterschiedlichem Fasergehalt.

Lokalisation:
Leiomyome können überall im Körper vorkommen, wo es glatte Muskulatur hat z.B. ausgehend von Gefässwänden (Angioleiomyom), vom Musculus arector pili der Haut (Piloleiomyom) oder von der glatten Wandmuskulatur in Hohlorganen. Am häufigsten treten Leiomyome im Uterus auf. Diese können submukös (Blutungsstörungen!), intramural oder subserös lokalisiert sein, seltener intrazervikal oder in den Ligamenten.

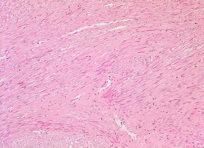
Morphologie:
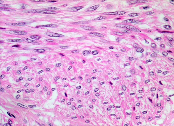
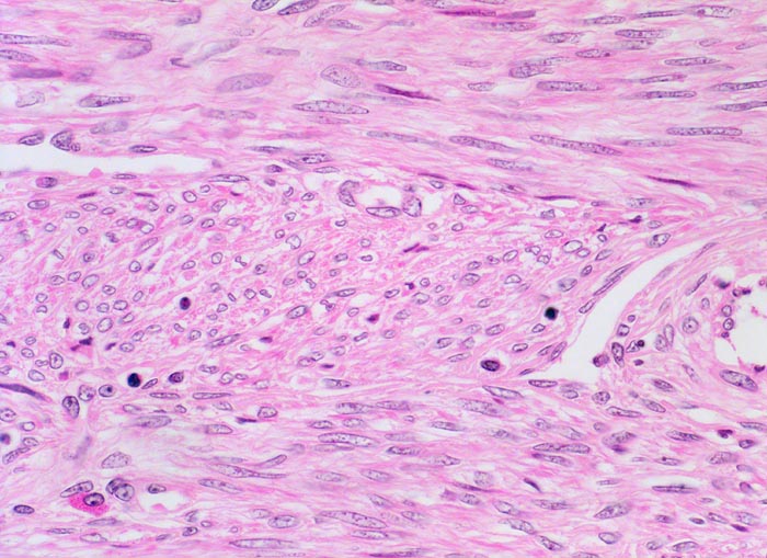
Myome imponieren makroskopisch typischerweise als runde, scharf begrenzte und nicht bekapselte Knoten. Die Schnittfläche ist weiss mit wirbliger Struktur. Mikroskopisch ist der Tumor aufgebaut aus Bündeln (=Faszikeln) spindelförmiger Zellen mit reichlich dunkel-eosinophilem Zytoplasma und an den Enden abgerundeten länglichen, zigarrenförmigen Kernen. Zell- und Fasergehalt sind sehr variabel. Degenerative Veränderungen wie Verkalkungen (> 4280), hyaline Nekrosen, Einblutungen, Homogenisierung des Kollagens, Ödem oder myxoide Degeneration und Zystenbildung (> 4279) kommen häufig vor. Manche gutartigen Leiomyome können ein einzelnes Malignitätskriterium aufweisen (vermehrte Mitosen, hohe Zellularität, deutliche Zellatypien oder Nekrosen). Falls mehr als eines dieser Kriterien vorhanden ist, handelt es sich differentialdiagnostisch um einen leiomyomatösen Tumor mit unsicherem Malignitätspotential (STUMP=Smooth Muscle Tumor of Uncertain Malignant Potential) oder um ein Leiomyosarkom. In seltenen Fällen lässt sich die Dignität nicht sicher bestimmen.

Prognose:
Myome wachsen unter dem Einfluss von Östrogenen. Nach der Menopause kommt es meist zum Wachstumsstillstand und zur Schrumpfung der vorhandenen Tumoren. Eine Entartung zum Leiomyosarkom ist sehr selten.

update 30. August 2018
Klinik
Vorkommen:
Leiomyome sind die häufigsten uterinen Tumoren. Sie sind in bis zu 75% der Hysterektomiepräparate nachweisbar. Zwischen dem 30. und 40. Lebensjahr beträgt die Inzidenz ca. 33%. Bei Kindern finden sich keine Myome.

Diagnostik:
Der initiale Verdacht auf ein Myom wird durch die Tastuntersuchung gestellt. Mittels Ultraschall lassen sich die Grösse und die Lage der Myome bestimmen. Eine Magnetresonanztomographie ist selten zur Therapieplanung nötig.

Symptomatik:
Hauptsymptome sind Blutungsstörungen aller Art (Menorrhagien, Hypermenorrhoe, Metrorrhagien) bei intramuralen Myomen infolge Kontraktionsschwäche des Uterus bzw. bei submukösen Myomen infolge gestörter Schleimhautregeneration. Ausserdem können Schmerzen auftreten als Folge der Kapselspannung oder Kreuzschmerzen bzw. Nervenschmerzen in den Beinen durch Druck auf die präsakralen Nervenaustritte. Grosse Tumoren können zu Druck-, Schwere- bzw. Fremdkörpergefühl im Unterbauch führen und Pollakisurie, Inkontinenz oder Obstipation verursachen. Besonders gestielte Myome können hämorrhagisch infarzieren (> 4277). 50% der Myome sind asymptomatisch.

Therapie:
Asymptomatische Myome des Uterus bedürfen keiner Therapie. Für den symptomatischen Uterus myomatosus gibt es ein grosses Angebot verschiedener Therapien. Da die Symptome sehr variieren und die Patientinnen sich in unterschiedlichen Lebensphasen befinden, muss die Therapie individualisiert erfolgen.
    Therapie bei offener Familienplanung: Myomektomie oder medikamentöse Therapie (Ovulationshemmer, Gestagene oder gestagenhaltige Spirale, Gn-RH Analoga).
  • Organerhaltende Therapien ohne Kinderwunsch: Endometriumresektion, Embolisation oder fokussierter Ultraschall.
  • Nicht organerhaltende, dauerhaft effektive Therapie: Totale oder suprazervikale Hysterektomie.
Verlauf:
    Therapie bei offener Familienplanung: Myomektomie oder medikamentöse Therapie (Ovulationshemmer, Gestagene oder gestagenhaltige Spirale, Gn-RH Analoga).
  • Organerhaltende Therapien ohne Kinderwunsch: Endometriumresektion, Embolisation oder fokussierter Ultraschall.
  • Nicht organerhaltende, dauerhaft effektive Therapie: Totale oder suprazervikale Hysterektomie.
update 30. August 2018
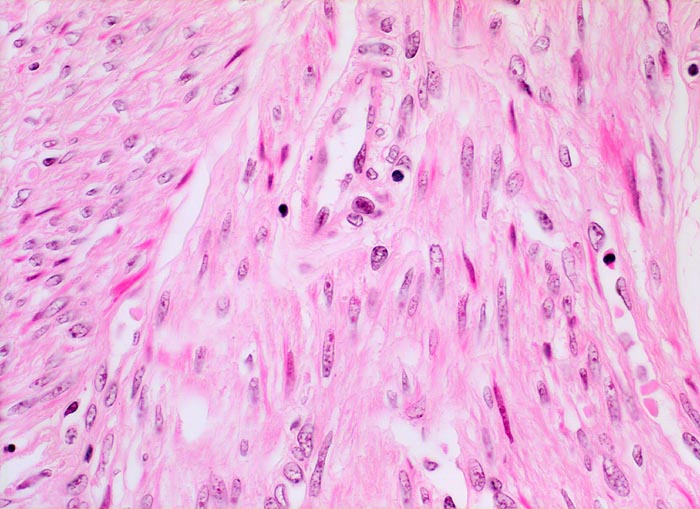
Morphologie
Morphologische Merkmale:
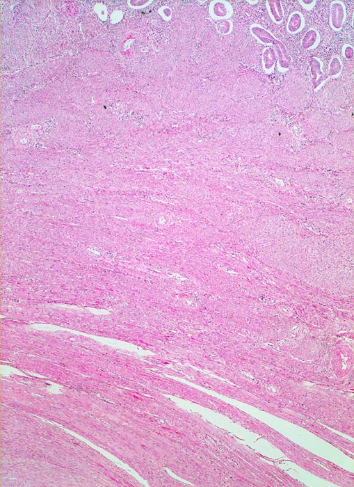
  • Zwei scharf begrenzte Knoten im Myometrium bestehend aus Bündeln glatter Muskulatur.
  • Variabler Anteil Fibrose (Kollagenfasern).
  • Glatte Muskelzelle: eosinophiles Zytoplasma, längliche Kerne mit abgerundeten Enden (zigarrenförmig).
  • Keine signifikanten Zellatypien. (signifikant=bereits in der Übersichtsvergrösserung erkennbar).
  • Keine Mitosen.
  • Keine Tumornekrosen.
  • Das Endometrium über dem Leiomyom ist druckatroph, das übrige Endometrium zeigt Proliferationszeichen.
Das sollte der Kliniker dem Pathologen mitteilen:
  • Durchgeführte Hormontherapie
  • Orale Kontrazeptiva
  • Schwangerschaft
Makroskopie
Befund
Pathologischer Befund
Normalbefund
Datum
Ersteintrag: 10.07.2019
Update: 10.07.2019