Wichtiger Sicherheitshinweis: Pathorama wurde zwischen dem 26. und 27. Dezember 2025 angegriffen. Falls Sie die Website in diesem Zeitraum besucht haben, lesen Sie bitte die wichtigen Informationen hier:
Zur Information

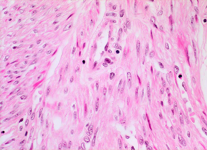
PathoPic – image database / PathoPic ID 4440 - Fibroleiomyom des Uterus

de
Diagnose
Fibroleiomyom des Uterus
Diagnose Gruppe
benigner Tumor
Topographie
Uterus
Topographie Gruppe
Genitalorgane, weiblich
Beschreibung
Die glattmuskulären Tumorzellen bilden geflechtartig verwobene Bündel. Zwischen den Tumorzellen verlaufen unterschiedlich breite zellarme Kollagenfaserzüge und dünnwandige Gefässe. Vereinzelte Entzündungszellen.
Zusatzbefund
Vergrösserter 258g schwerer Uterus mit multiplen weissen, derben scharf begrenzten, teils intramuralen und teils submukös gelegenen Knoten.
Klinik
Vaginale Hysterektomie wegen Meno-Metrorrhagien.
Bilder Typ
Histologie
Vergrösserung
400
Alter
48
Geschlecht
unbekannt
Datum
Ersteintrag: 16.04.2002
Update: 10.08.2010