Wichtiger Sicherheitshinweis:
Pathorama wurde zwischen dem
26. und 27. Dezember 2025
angegriffen. Falls Sie die Website in diesem Zeitraum besucht haben, lesen Sie bitte die wichtigen Informationen hier:
Zur Information
Pathopic
HiPaKu
ZyPaKu
Projektinfos
PathoPic - Projekt- und Copyright-Info
About
Pathopic
HiPaKu
ZyPaKu
PathoPic – image database
/
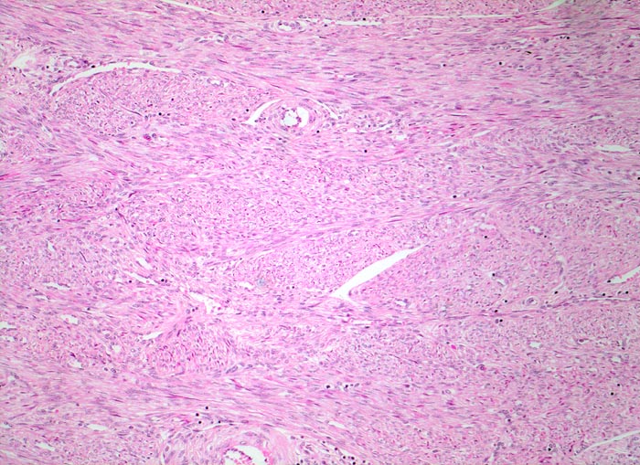
PathoPic ID 4811 - normales Myometrium
de
Diagnose
normales Myometrium
Diagnose Gruppe
Normalbefund
Topographie
Myometrium
Topographie Gruppe
Genitalorgane, weiblich
Beschreibung
Bündel von teils längs, teils quer getroffenen glatten Muskelfasern.
Klinik
Hysterektomie wegen Meno/Methrorrhagien
Bilder Typ
Histologie
Vergrösserung
100
Alter
48
Geschlecht
unbekannt
Datum
Ersteintrag: 08.05.2002
Update: 10.08.2010
CPS
·
©
2025 Institut für Pathologie Basel
/
Dr. med. Katharina Glatz-Krieger
.
·
v2.2