Wichtiger Sicherheitshinweis: Pathorama wurde zwischen dem 26. und 27. Dezember 2025 angegriffen. Falls Sie die Website in diesem Zeitraum besucht haben, lesen Sie bitte die wichtigen Informationen hier:
Definition:
Die meisten bakteriellen und bakteriell superinfizierten viralen Pneumonien verlaufen als alveoläre Pneumonien. Der Ausbreitung nach werden sie unterteilt in lobäre Pneumonien mit gleichmässigem Befall grösserer Lungenabschnitte und Herdpneumonien, bei denen sich multiple Herde entwickeln. Eine Lobärpneumonie tritt auf, wenn die Erreger die Alveolarräume so ausgedehnt und rasch befallen, daß sie erst vor anatomischen Grenzen (z.B. Lappenspalt) Halt machen.
Aetiologie:
Pneumokokken verursachen die meisten ambulant erworbenen Pneumonien und stellen die typischen Erreger der Lobärpneumonie dar. Lobär ausgebreitete Pneumonien können aber auch durch Klebsiella pneumoniae und Staphylococcus aureus hervorgerufen werden.
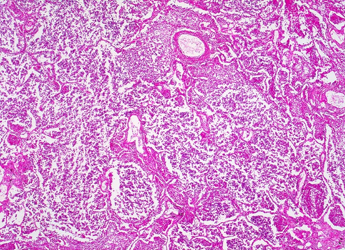
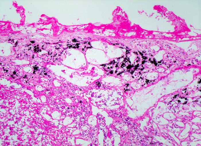
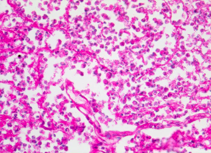
Morphologie:
Aufgrund der heute rasch einsetzenden antibiotischen Therapie bei klinischer Diagnose einer Pneumonie, kommen die charakteristischen Stadien der Lobärpneumonie nur noch selten zur Beobachtung. Die unbehandelte Lobärpneumonie verläuft in vier Stadien:
Anschoppung (1. -2. Tag)
Rote Hepatisation (2.-3. Tag)
Graue Hepatisation (4.-6. Tag)
Gelbe Hepatisation (7.-8. Tag)
Klinik
Vorkommen:
Eine Lobärpneumonie wird bei etwa 1% der an einer Pneumonie Verstorbenen diagnostiziert.
Von den in der Schweiz etwa 1500 pro Jahr hospitalisierten Patienten mit Pneumokokkenpneumonie sind etwa zwei Drittel über 64 Jahre alt. Die jährliche Inzidenz bei Kindern unter 2 Jahren beträgt 11 Fälle pro 100'000. In Wirklichkeit liegen diese Zahlen wahrscheinlich einiges höher, da ein grosser Anteil ambulant und ohne Erregerdiagnose behandelt werden.
Symptomatik:
Zu den Symptomen der Lobärpneumonie gehören ein einmaliger, starker Schüttelfrost, gefolgt von Fieber bis zu 40 °C, atemabhängige pleuritische Thoraxschmerzen, Husten und rostbrauner (Pneumokokken) bzw. himbergeleeartiger (Klebsiellen) Auswurf. Die Lobärpneumonie bricht im Gegensatz zur Bronchopneumonie plötzlich aus und ist mit höherem Fieber verbunden.
Komplikationen:
Regelmässig entwickelt sich eine Begleitpleuritis. In seltenen Fällen tritt ein Pleuraempyem, eine hämatogene Streuung (Pneumokokkenmeningitis, ulzeropolypöse Endokarditis, Arthritis oder Osteomyelitis), eine intrapulmonale Abszedierung oder eine chronische karnifizierende Pneumonie als Komplikation einer Lobärpneumonie auf.
Diagnostik:
Die Diagnose einer Pneumonie bzw. Bronchopneumonie ergibt sich aus den klinischen Befunden, dem Auskultationsbefund und gegebenenfalls aus der Röntgen-Thorax-Aufnahme. Bei leichter Pneumonie ist eine mikrobiologische Diagnose nicht notwendig.
Therapie:
Die Therapie kann empirisch erfolgen. Bei schwerem Verlauf ist eine Erregeridentifikation unbedingt anzustreben. Die Antibiotikatherapie erfolgt über 10-14 Tage. Nach 3 Tagen sollte das Ansprechen auf die Therapie überprüft werden (Rückgang des Fiebers, Verbesserung des Allgemeinzustandes). Risikogruppen sollten prophylaktisch gegen Pneumokokken geimpft werden.
Prognose:
Die Letalität einer bakteriämischen Pneumokokkeninfektion liegt trotz Antibiotikatherapie bei 15-20% der Erwachsenen (30-40% der über 64 jährigen) und 6% bei Kindern.