Wichtiger Sicherheitshinweis: Pathorama wurde zwischen dem 26. und 27. Dezember 2025 angegriffen. Falls Sie die Website in diesem Zeitraum besucht haben, lesen Sie bitte die wichtigen Informationen hier:
Zur Information

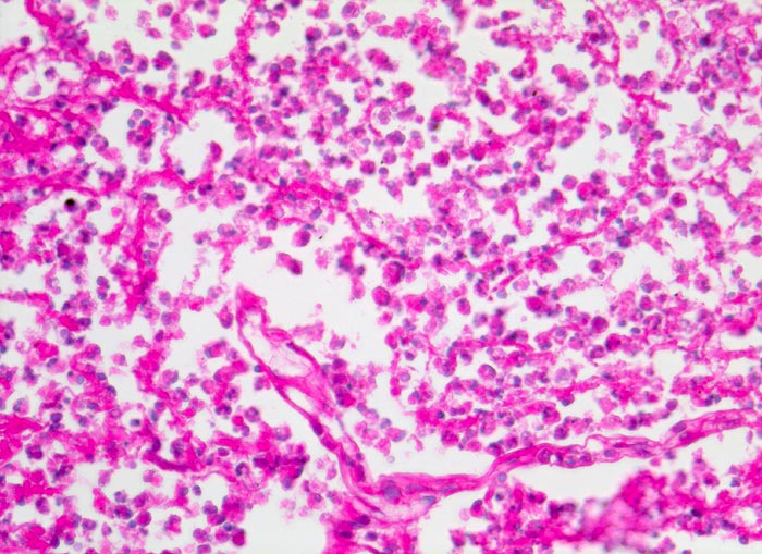
PathoPic – image database / PathoPic ID 4656 - Lobärpneumonie

de
Diagnose
Lobärpneumonie
Diagnose Gruppe
Entzündung infektiös
Topographie
Lunge
Topographie Gruppe
Lunge, Mediastinum mit Thymus
Beschreibung
Die Alveolen sind angefüllt mit fädigem Fibrin und zerfallenden neutrophilen Granulozyten.
Zusatzbefund
Der linke Lungenunterlappen ist vergrössert und verfestigt. Die Schnittfläche ist leicht körnelig und graugelb. Der Abstrichsaft ist gelblich trüb und schmierig. Die übrigen Lungenlappen sind leicht ödematös.
Klinik
Patient mit schwerer Demenz. Plötzlicher Krankheitsbeginn mit hohem Fieber (Continua), Leukozytose, Dämpfung über dem linken Unterlappen. Tod am 6. Tag der Erkrankung an Herzversagen.
Bilder Typ
Histologie
Vergrösserung
320
Alter
82
Geschlecht
männlich
Datum
Ersteintrag: 06.05.2002