Wichtiger Sicherheitshinweis:
Pathorama wurde zwischen dem
26. und 27. Dezember 2025
angegriffen. Falls Sie die Website in diesem Zeitraum besucht haben, lesen Sie bitte die wichtigen Informationen hier:
Zur Information
Pathopic
HiPaKu
ZyPaKu
Projektinfos
PathoPic - Projekt- und Copyright-Info
About
Pathopic
HiPaKu
ZyPaKu
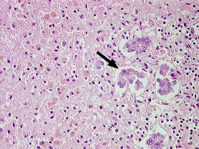
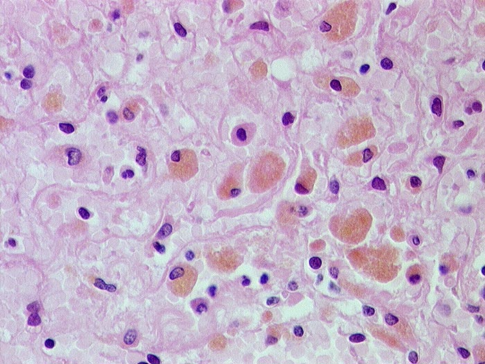
AP/ Massive Lebernekrose
Diagnose
Massive Lebernekrose
Diagnose Gruppe
Therapiefolgen
Differenzialdiagnose
Topographie Gruppe
Leber, Gallenwege, Pankreas
Topographie
Leber
Einleitung
-
Klinik
-
Normalbefund
Leber HE
Morphologie
-
Makroskopie
Virtuelles Präparat
Befund
Pathologischer Befund
Normalbefund
Literatur
Datum
Ersteintrag: 14.01.2010
Update: 14.01.2010
CPS
·
©
2025 Institut für Pathologie Basel
/
Dr. med. Katharina Glatz-Krieger
.
·
v2.2