Wichtiger Sicherheitshinweis: Pathorama wurde zwischen dem 26. und 27. Dezember 2025 angegriffen. Falls Sie die Website in diesem Zeitraum besucht haben, lesen Sie bitte die wichtigen Informationen hier:
Zur Information

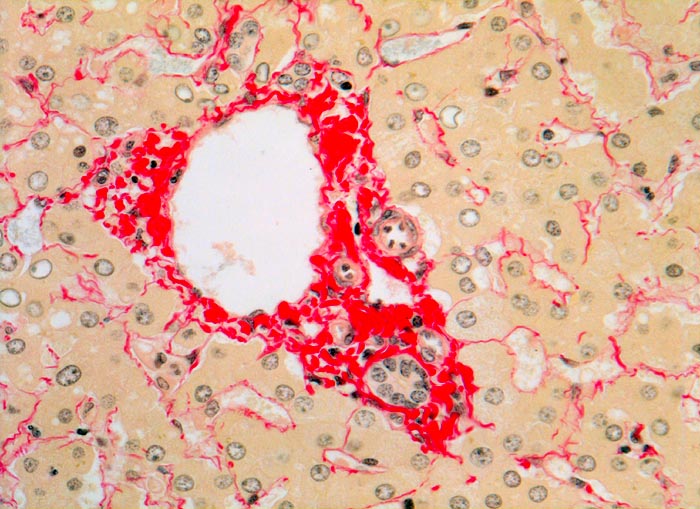
PathoPic – image database / PathoPic ID 3125 - Normales Leberparenchym mit Portalfeld

de
Diagnose
Normales Leberparenchym mit Portalfeld
Diagnose Gruppe
Normalbefund
Topographie
Leber
Topographie Gruppe
Leber, Gallenwege, Pankreas
Beschreibung
Im Zentrum ein entzündungsfreies Portalfeld mit weitlumigem Portalvenenast, rechts davon mehreren kleinen Arterienästen und noch weiter rechts einem Gallengang. Entlang der Sinusoide ist eine diskrete Vermehrung roter Bindegewebsfasern erkennbar.
Bilder Typ
Histologie
Vergrösserung
200
Geschlecht
weiblich
Datum
Ersteintrag: 21.03.2002