Wichtiger Sicherheitshinweis: Pathorama wurde zwischen dem 26. und 27. Dezember 2025 angegriffen. Falls Sie die Website in diesem Zeitraum besucht haben, lesen Sie bitte die wichtigen Informationen hier:
Zur Information

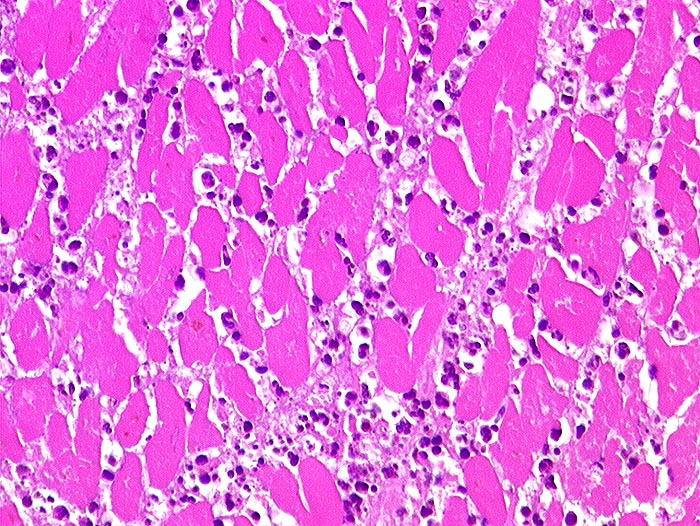
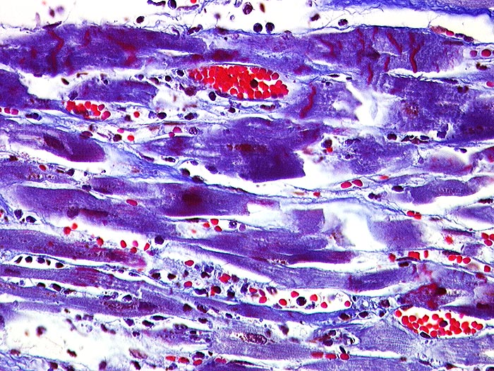
AP/ Akuter Myokardinfarkt

Diagnose
Akuter Myokardinfarkt
Diagnose Gruppe
vaskulär / Durchblutungsstörung
Differenzialdiagnose
Topographie Gruppe
Kardiovaskuläres System
Topographie
Herz links
Einleitung
-
Klinik
-
Normalbefund
Morphologie
-
Makroskopie
Virtuelles Präparat
Befund
Pathologischer Befund
Normalbefund
Literatur
Datum
Ersteintrag: 09.02.2004
Update: 09.02.2004