Wichtiger Sicherheitshinweis: Pathorama wurde zwischen dem 26. und 27. Dezember 2025 angegriffen. Falls Sie die Website in diesem Zeitraum besucht haben, lesen Sie bitte die wichtigen Informationen hier:
Zur Information

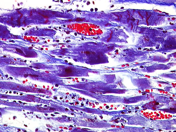
PathoPic – image database / PathoPic ID 815 - Akuter Myokardinfarkt: Kontraktionsbänder

de
Diagnose
Akuter Myokardinfarkt: Kontraktionsbänder
Diagnose Gruppe
vaskulär / Durchblutungsstörung
Topographie
Herz links
Topographie Gruppe
Kardiovaskuläres System
Beschreibung
Quer zu den Myozyten verlaufende rot gefärbte Kontraktionsbänder. Granulozytäres Infiltrat rechts im Bild.
Zusatzbefund
Paninfarkt bei schwer stenosierender Koronarsklerose mit Abgangstenose beider Hauptäste. Alter Verschluss der Arteria coronaria dextra.
Klinik
Verdacht auf koronare Herzkrankheit. Arterielle Hypertonie.
Kommentar
Kontraktionsbänder sind nach 30 Minuten, zelluläre Infiltrate nach minimal 3 Stunden sichtbar. Kontraktionsbänder entstehen, wenn das hypoxisch geschädigte Myokard sich noch kontrahiert, aber nicht mehr relaxieren kann.
Bilder Typ
Histologie
Alter
78
Geschlecht
unbekannt
Datum
Ersteintrag: 21.11.2001