Wichtiger Sicherheitshinweis: Pathorama wurde zwischen dem 26. und 27. Dezember 2025 angegriffen. Falls Sie die Website in diesem Zeitraum besucht haben, lesen Sie bitte die wichtigen Informationen hier:
Zur Information

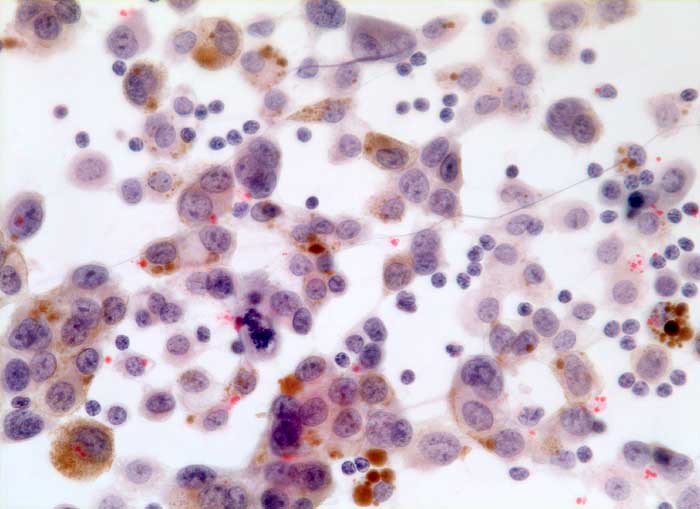
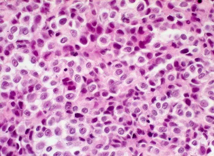
l/ Maligner Pleuraerguss: Malignes Melanom

Diagnose
Maligner Pleuraerguss: Malignes Melanom
Diagnose Gruppe
maligner Tumor
Differenzialdiagnose
Topographie Gruppe
Körperhöhlen, Serosa
Topographie
Pleuraerguss Zytologie
Einleitung
Der Nachweis von eisennegativem Pigment und die Positivität für den melanozytären Marker HMB-45 in malignen Zellen bestätigt die Diagnose eines malignen Melanoms.
Klinik
-
Normalbefund
Morphologie
Makroskopie
Virtuelles Präparat
Befund
Pathologischer Befund
Normalbefund
Literatur
Datum
Ersteintrag: 01.04.2003
Update: 01.04.2003