Wichtiger Sicherheitshinweis:
Pathorama wurde zwischen dem
26. und 27. Dezember 2025
angegriffen. Falls Sie die Website in diesem Zeitraum besucht haben, lesen Sie bitte die wichtigen Informationen hier:
Zur Information
Pathopic
HiPaKu
ZyPaKu
Projektinfos
PathoPic - Projekt- und Copyright-Info
About
Pathopic
HiPaKu
ZyPaKu
PathoPic – image database
/
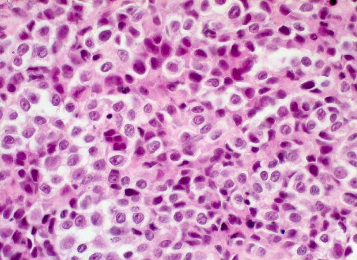
PathoPic ID 5900 - amelanotisches Malignes Melanom
de
Diagnose
amelanotisches Malignes Melanom
Diagnose Gruppe
maligner Tumor
Topographie
Pleura parietalis
Topographie Gruppe
Körperhöhlen, Serosa
Beschreibung
Epitheloidzelliger solider nicht pigmentierter Tumor.
Klinik
Bekanntes malignes Melanom
Kommentar
Zytologische Diagnose: malignes Melanom.
Bilder Typ
Histologie
Vergrösserung
400
Alter
69
Geschlecht
unbekannt
Datum
Ersteintrag: 03.01.2003
Update: 17.02.2003
CPS
·
©
2025 Institut für Pathologie Basel
/
Dr. med. Katharina Glatz-Krieger
.
·
v2.2