Wichtiger Sicherheitshinweis:
Pathorama wurde zwischen dem
26. und 27. Dezember 2025
angegriffen. Falls Sie die Website in diesem Zeitraum besucht haben, lesen Sie bitte die wichtigen Informationen hier:
Zur Information
Pathopic
HiPaKu
ZyPaKu
Projektinfos
PathoPic - Projekt- und Copyright-Info
About
Pathopic
HiPaKu
ZyPaKu
l/ Östrogenrezeptor
Diagnose
Östrogenrezeptor
Diagnose Gruppe
Differenzialdiagnose
Topographie Gruppe
Topographie
Einleitung
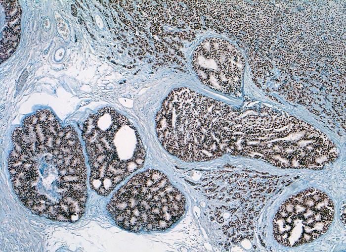
Östrogenrezeptor
Anfärbung:
Zellkern. Zytoplasmafärbung ist unspezifisch.
Reaktion im Normalgewebe:
Epithel und Stromazellen von Vulva und Vagina. Endometrium. Mammaepithelien.
Reaktion in Neoplasien:
Folgende Tumoren können Östrogen- und/oder Progesteronrezeptoren exprimieren:
Mammakarzinom
Zervixkarzinom
Ovarialtumoren (serös, muzinös)
Endometriumkarzinom, endometriales Stromasarkom
Fibroepitheliale Polypen, Nervenscheidentumoren und glattmuskuläre Tumoren der Vulva
Vaginales Angiomyofibroblastom
Aggressives Angiomyxom
Desmoidtumor (abdominale Fibromatose)
Schweissdrüsentumoren
Schilddrüsentumoren
Meningeom
Melanom
neuroendokrine Tumoren
Folgende Tumoren exprimieren nie Östrogenrezeptoren:
Kolorektales Adenokarzinom
Nicht-kleinzelliges Bronchuskarzinom
Hepatozelluläres Karzinom
Diagnostischer Nutzen:
Identifikation von Mammakarzinomen, die möglicherweise auf eine Hormontherapie ansprechen.
Klinik
-
Normalbefund
Morphologie
Makroskopie
Virtuelles Präparat
Befund
Pathologischer Befund
Normalbefund
Literatur
Datum
Ersteintrag: 01.04.2003
Update: 01.04.2003
CPS
·
©
2025 Institut für Pathologie Basel
/
Dr. med. Katharina Glatz-Krieger
.
·
v2.2