Wichtiger Sicherheitshinweis: Pathorama wurde zwischen dem 26. und 27. Dezember 2025 angegriffen. Falls Sie die Website in diesem Zeitraum besucht haben, lesen Sie bitte die wichtigen Informationen hier:
Zur Information

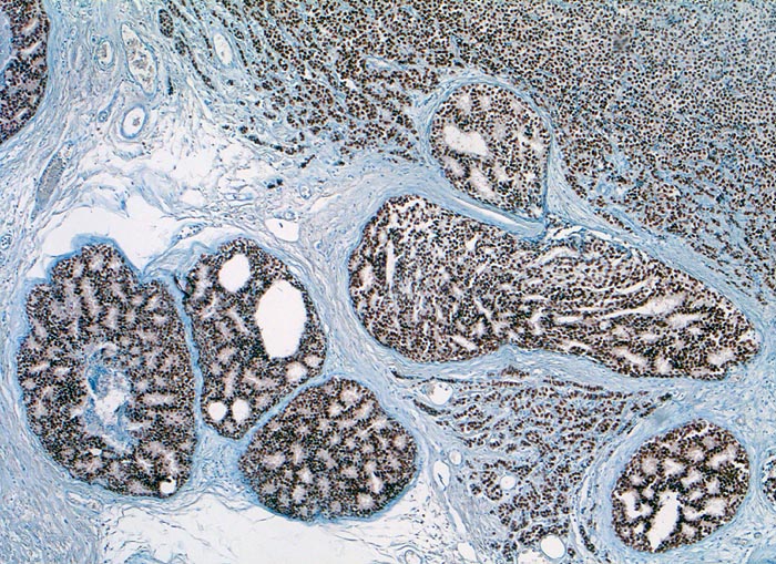
PathoPic – image database / PathoPic ID 5186 - Duktales carcinoma in situ und invasiv duktales Karzinom

de
Diagnose
Duktales carcinoma in situ und invasiv duktales Karzinom
Diagnose Gruppe
Präneoplasie/ Atypie/ Dignität?
Topographie
Mamma
Topographie Gruppe
Mamma
Beschreibung
Innerhalb einer Basalmembran liegende kribriforme Strukturen eines duktalen in situ Karzinoms. Daneben das infiltrativ wachsende invasive Karzinom. Beide Komponenten sind stark positiv für den Östrogenrezeptor.
Zusatzbefund
Invasiv duktales Mammakarzinom
Bilder Typ
Histologie
Immunhistochemie
Oestrogen Rezeptor
Vergrösserung
50
Alter
52
Geschlecht
unbekannt
Datum
Ersteintrag: 23.07.2002