Wichtiger Sicherheitshinweis: Pathorama wurde zwischen dem 26. und 27. Dezember 2025 angegriffen. Falls Sie die Website in diesem Zeitraum besucht haben, lesen Sie bitte die wichtigen Informationen hier:
Zur Information

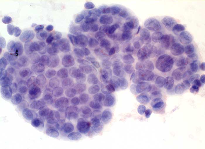
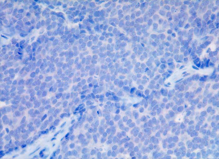
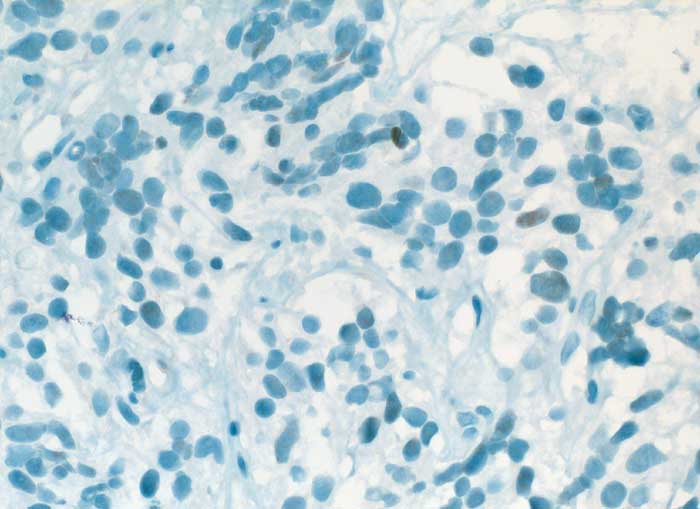
l/ TTF-1 (Thyroid Transcription Factor)

Diagnose
TTF-1 (Thyroid Transcription Factor)
Diagnose Gruppe
Differenzialdiagnose
Topographie Gruppe
Topographie
Einleitung
TTF-1
Anfärbung:
Zellkern
Reaktion im Normalgewebe:
TTF-1 wird exprimiert in follikulären Zellen der Schilddrüse, Typ II Pneumozyten, bronchiolären Zellen, Hypophysenvorderlappen, Nebenschilddrüse, C-Zellen und einigen Hirnregionen.
Reaktion in Neoplasien:
TTF1 ist in folgenden Tumoren häufig positiv:
  • Schilddrüsenadenome, follikuläre, papilläre, insuläre, medulläre Schilddrüsenkarzinome (96-100%)
  • Onkozytäres Schilddrüsenkarzinom (20%)
  • anaplastisches Schilddrüsenkarzinom (<50%)
  • Adenokarzinom der Lunge (73%)
  • Bronchioloalveoläres Karzinom (86%)
  • extrapulmonale Adenokarzinome ausser Schilddrüse (1%)
  • kleinzelliges Bronchuskarzinom (90%), extrapulmonale kleinzellige Karzinome (36%)
  • Typisches Karzinoid der Lunge (49%), extrapulmonales Karzinoid (1%)
  • Atypisches Karzinoid der Lunge (92%)
  • Grosszelliges neuroendokrines Karzinom (46%)
  • Plattenepithelkarzinom der Lunge (<10%)
  • Grosszelliges Bronchuskarzinom (25%)
  • Sklerosierendes Hämangiom der Lunge (98%)
  • Merkelzellkarzinom der Haut (0%)
Diagnostischer Nutzen:
TTF1 dient der Differentialdiagnose zahlreicher Tumoren:
  • Unterscheidung von pulmonalen und extrapulmonalen Adenokarzinomen zusammen mit CK7 und CK20.
  • Unterscheidung eines Adenokarzinoms der Lunge von einem Mesotheliom.
  • Unterscheidung von Hautmetastasen eines kleinzelligen Bronchuskarzinoms (TTF-1+, CK20-) von einem Merkelzellkarzinom (TTF-1-, CK20+).
  • Herkunft eines Karzinoids aus der Lunge.
  • Wenn ein kleinzelliges Karzinom negativ ist für TTF-1 stammt es eher nicht aus der Lunge. TTF-1 Positivität eines kleinzelligen Karzinoms bedeutet jedoch nicht, dass das Karzinom pulmonalen Ursprungs ist.
  • Unterscheidung von Schilddrüsentumoren von einem Nebenschilddrüsenadenom (TTF-1 negativ).
Klinik
-
Normalbefund
Morphologie
Makroskopie
Virtuelles Präparat
Befund
Pathologischer Befund
Normalbefund
Literatur
Datum
Ersteintrag: 01.04.2003
Update: 01.04.2003